La enfermedad de Whipple es una patología rara, compleja y multisistémica, que se caracteriza por una infección crónica causada por la bacteria Tropheryma whipplei. Esta enfermedad se presenta con una prevalencia estimada de aproximadamente 1 caso por cada 100,000 personas, lo que la clasifica como una condición poco común en la población general. Aunque puede desarrollarse en individuos de cualquier edad, los casos más frecuentes se observan en hombres blancos adultos, específicamente en aquellos que se encuentran en el rango de los 40 a los 60 años.
En cuanto a su etiología, la enfermedad de Whipple es provocada por una infección persistente con Tropheryma whipplei, un bacilo grampositivo que pertenece a la familia de los actinobacterias. Esta bacteria es el agente causante de la enfermedad, aunque su fuente exacta de infección aún no está completamente clara. En la mayoría de los casos, la transmisión de la bacteria se produce por vía oral, pero no se ha establecido un mecanismo específico ni se ha demostrado la existencia de una transmisión de persona a persona. De hecho, no se han documentado casos en los que la enfermedad se haya diseminado directamente de un ser humano a otro, lo que sugiere que la fuente de la infección puede ser ambiental o relacionada con otras formas de contacto indirecto.
La enfermedad de Whipple se caracteriza por su amplia gama de manifestaciones clínicas, que pueden involucrar varios sistemas orgánicos. Los síntomas comunes incluyen malabsorción intestinal, que puede provocar diarrea crónica, pérdida de peso significativa, y déficits nutricionales, especialmente de vitaminas liposolubles. A menudo, los pacientes presentan artritis migratoria o dolor articular, lo que puede confundirse con otras afecciones reumáticas. Además, la enfermedad puede afectar el sistema nervioso central, dando lugar a síntomas neurológicos como confusión, pérdida de memoria, ataxia y otros signos de encefalopatía. En su forma más avanzada, la enfermedad puede comprometer otros órganos, como el corazón, los pulmones y los ojos, lo que contribuye a la complejidad del diagnóstico y tratamiento.
La patogénesis de la enfermedad de Whipple está relacionada con la capacidad de Tropheryma whipplei para infiltrarse en diversas estructuras tisulares. Se sabe que esta bacteria tiene una afinidad particular por el intestino delgado, donde invade los macrófagos, células del sistema inmunológico que normalmente fagocitan microorganismos patógenos. Al interior de estos macrófagos, la bacteria sobrevive y se multiplica, lo que a su vez afecta la capacidad del sistema inmune para eliminar la infección. A medida que la bacteria se disemina a través del sistema linfático, puede llegar a otros órganos, lo que explica las manifestaciones multisistémicas de la enfermedad.
Manifestaciones clínicas
La enfermedad de Whipple presenta una amplia gama de manifestaciones clínicas, lo que hace que su diagnóstico y manejo sean particularmente desafiantes. Las manifestaciones más comunes de la enfermedad son articulares, gastrointestinales, y sistémicas, y su diversidad puede variar considerablemente entre los pacientes, lo que contribuye a la complejidad de la condición. Las articulaciones son frecuentemente afectadas, y aproximadamente el 80% de los pacientes experimentan artralgias o una artritis migratoria no deformante, que generalmente constituye el primer síntoma observado. Esta artritis puede presentarse inicialmente de manera inespecífica, con dolor y rigidez en las articulaciones, y es una de las características más reconocibles de la enfermedad.
Los síntomas gastrointestinales son igualmente frecuentes y se observan en aproximadamente el 75% de los casos. Estos incluyen dolor abdominal, diarrea crónica, distensión abdominal, flatulencia y esteatorrea, que es la presencia de grasa en las heces debido a la malabsorción. La malabsorción se debe a la afectación de las vellosidades intestinales y la disfunción de los mecanismos de absorción de nutrientes en el intestino delgado, lo que puede llevar a deficiencias nutricionales. La pérdida de peso es otro síntoma predominante, que se observa en casi todos los pacientes, y es a menudo el primer signo que alerta sobre la posibilidad de la enfermedad. La pérdida de proteínas en el tracto gastrointestinal debido a la inflamación crónica y el compromiso del sistema linfático puede dar lugar a una enteropatía con pérdida de proteínas, lo que resulta en niveles bajos de albúmina en sangre (hipoalbuminemia) y la aparición de edema en diversas partes del cuerpo.
En ausencia de síntomas gastrointestinales evidentes, el diagnóstico de la enfermedad de Whipple puede retrasarse significativamente, lo que podría hacer que los pacientes pasen varios años sin un diagnóstico adecuado. La fiebre de bajo grado intermitente está presente en más del 50% de los casos, aunque no es un hallazgo específico, ya que puede ser de carácter transitorio o difícil de correlacionar con otras manifestaciones. En el examen físico, pueden observarse signos como hipotensión, que generalmente es un hallazgo tardío asociado con la progresión de la enfermedad, así como fiebre leve y evidencias de malabsorción, como pérdida de peso y deficiencias nutricionales.
La linfadenopatía, o aumento de tamaño de los ganglios linfáticos, se presenta en aproximadamente el 50% de los pacientes y es otra característica común. En algunos casos, se pueden escuchar murmullos cardíacos en el examen físico debido a la afectación valvular, un signo que indica la posible implicación de la enfermedad en el corazón. Las articulaciones periféricas también pueden mostrar signos de inflamación, como aumento de tamaño o calor local, y algunos pacientes pueden desarrollar edema periférico como resultado de la retención de líquidos asociada con la pérdida de proteínas.
En cuanto a las manifestaciones neurológicas, estas son altamente variables y pueden incluir una gama de síntomas que afectan el sistema nervioso central. Los hallazgos neurológicos incluyen oftalmoplejía, que es la parálisis de los músculos que controlan el movimiento ocular, y demencia, que se puede manifestar como confusión, pérdida de memoria y dificultad para concentrarse. También se pueden presentar ataxia cerebelosa, que afecta la coordinación motora, meningitis crónica, mielopatía (compromiso de la médula espinal) y convulsiones. Estas manifestaciones neurológicas reflejan la capacidad de Tropheryma whipplei para invadir el sistema nervioso, lo que puede resultar en un daño progresivo a lo largo del tiempo si no se trata de manera adecuada.
Una manifestación cutánea que se observa en hasta el 40% de los pacientes es la hiperpigmentación en áreas expuestas al sol. Esta hiperpigmentación se presenta como manchas oscuras en la piel, lo que puede ser un indicio de un desequilibrio en la producción y distribución de melanina, posiblemente relacionado con la disfunción metabólica sistémica inducida por la infección.
Exámenes complementarios
Cuando los pacientes con la enfermedad de Whipple experimentan una malabsorción significativa, es posible que presenten diversas anomalías en los análisis de laboratorio, que se reflejan en los desórdenes metabólicos y nutricionales resultantes de la incapacidad del intestino para absorber adecuadamente los nutrientes. Entre las anomalías comunes en estos casos se incluyen deficiencias en vitaminas liposolubles, como las vitaminas A, D, E y K, debido a la mala absorción de grasas. Además, pueden observarse alteraciones en los electrolitos, como hiponatremia y desequilibrios en los niveles de magnesio o calcio, consecuencia de la malabsorción intestinal crónica y la pérdida de proteínas en las heces. Un hallazgo característico es la presencia de esteatorrea, que se refiere a la excreción excesiva de grasa en las heces, un signo clínico clave que indica que el cuerpo no está procesando adecuadamente los lípidos debido a la disfunción de la mucosa intestinal.
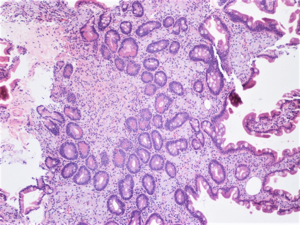
El diagnóstico definitivo de la enfermedad de Whipple generalmente se establece mediante una evaluación histológica de biopsias obtenidas por endoscopia, especialmente cuando se realiza una biopsia de la mucosa del duodeno, que es el sitio más frecuentemente afectado por la infección. En aproximadamente el 90% de los casos, la biopsia duodenal revela características patológicas típicas, que incluyen la infiltración de la lámina propia intestinal por macrófagos PAS-positivos. Estos macrófagos contienen bacilos grampositivos, que son la causa de la enfermedad, y aunque estos bacilos son grampositivos, no son ácidos-alcohol resistentes, lo que es una característica importante para su diferenciación de otros patógenos. La dilatación de los lacteales, que son vasos linfáticos especializados en la absorción de grasas, también es un hallazgo común en la histología duodenal, lo que indica una respuesta inflamatoria crónica y una disfunción en el proceso normal de absorción intestinal.
En los casos donde la biopsia duodenal no es concluyente o no es factible, se pueden emplear métodos diagnósticos alternativos. Uno de ellos es la reacción en cadena de la polimerasa específica para Tropheryma whipplei, que se utiliza para detectar el ADN de la bacteria en muestras obtenidas de tejidos extraintestinales o fluidos corporales. Entre estos fluidos, los más comunes incluyen el líquido cefalorraquídeo (LCR), el líquido sinovial y los tejidos como los ganglios linfáticos, el tejido sinovial o incluso el endocardio, si se sospecha de afectación valvular cardíaca. En casos más complejos o avanzados, la inmunohistoquímica también puede ser útil para detectar la presencia de la bacteria en los tejidos afectados, ya que permite visualizar la localización específica de los bacilos en las células infectadas.
Un aspecto importante de la enfermedad de Whipple es la frecuente implicación del sistema nervioso central (SNC), que ocurre en aproximadamente el 40% de los pacientes. A menudo, la infección del SNC puede ser asintomática o tener manifestaciones neurológicas sutiles, lo que dificulta su diagnóstico. Debido a esto, se recomienda realizar un análisis rutinario del líquido cefalorraquídeo mediante PCR específica para Tropheryma whipplei en todos los pacientes sospechosos de tener la enfermedad, incluso si no presentan síntomas neurológicos evidentes. La presencia de la bacteria en el LCR puede indicar una infección subclínica del SNC, lo que refuerza la idea de que la enfermedad tiene un carácter multisistémico y puede afectar de manera silenciosa diversas áreas del organismo, incluida la médula espinal y el cerebro.
Este enfoque diagnóstico integral es fundamental para garantizar la identificación temprana de la enfermedad de Whipple, especialmente dada su naturaleza insidiosa y su capacidad para presentarse con una amplia variedad de síntomas clínicos. Un diagnóstico temprano permite iniciar el tratamiento adecuado, lo que mejora significativamente el pronóstico de los pacientes al prevenir complicaciones graves, incluidas las secuelas neurológicas y cardíacas. La combinación de técnicas como la biopsia endoscópica, la reacción en cadena de la polimerasa y la inmunohistoquímica ofrece un marco diagnóstico robusto que facilita la detección de esta rara y compleja enfermedad.
Diagnóstico diferencial
La enfermedad de Whipple debe considerarse en el diagnóstico diferencial de pacientes que se presentan con síntomas de malabsorción, fiebre de origen desconocido, linfadenopatía, artritis seronegativa, endocarditis negativa en cultivos o enfermedad multisistémica. Estos síntomas son bastante inespecíficos y pueden estar presentes en una amplia variedad de condiciones, lo que puede dificultar el diagnóstico temprano. Sin embargo, la enfermedad de Whipple tiene una serie de características clínicas que, cuando se observan en conjunto, deben llevar a los profesionales de la salud a sospechar de esta patología rara y compleja.
La malabsorción es uno de los síntomas más comunes de la enfermedad de Whipple, ya que la infección crónica por Tropheryma whipplei afecta principalmente el intestino delgado, donde interfiere con la absorción de nutrientes. Los pacientes pueden experimentar pérdida de peso, diarrea crónica, distensión abdominal y una serie de deficiencias nutricionales, como la pérdida de vitaminas liposolubles. Este cuadro de malabsorción, aunque no exclusivo de la enfermedad de Whipple, debe generar sospecha cuando se asocia con otros síntomas característicos.
La fiebre de origen desconocido es otro hallazgo frecuente en la enfermedad de Whipple. Este tipo de fiebre es persistente y de bajo grado, y puede no ser fácilmente atribuible a una causa infecciosa clara, lo que a menudo retrasa el diagnóstico. La fiebre, combinada con malabsorción y otros síntomas sistémicos, debe hacer que los médicos consideren la posibilidad de una infección crónica y de difícil diagnóstico como la enfermedad de Whipple.
La linfadenopatía, es decir, el agrandamiento de los ganglios linfáticos, también se observa en aproximadamente el 50% de los pacientes. Esta manifestación es indicativa de una respuesta inflamatoria sistémica y, a menudo, se asocia con procesos infecciosos o autoinmunitarios. La linfadenopatía puede ser difusa, lo que la hace difícil de asociar a una causa específica sin una evaluación más profunda.
Otro hallazgo frecuente en la enfermedad de Whipple es la artritis seronegativa, que afecta a un porcentaje importante de los pacientes. La artritis en estos casos suele ser migratoria, no deformante y puede confundirse con otros trastornos reumáticos, como la artritis reactiva o incluso la artritis idiopática juvenil. Este tipo de artritis es típicamente no inflamatoria y responde parcialmente a los tratamientos antimicrobianos, lo que puede ayudar a diferenciarla de otras formas de artritis más comunes.
La endocarditis negativa en cultivos es otro cuadro que puede asociarse con la enfermedad de Whipple. A pesar de la infección sistémica crónica, la Tropheryma whipplei no es fácilmente detectable mediante cultivos estándar, lo que puede llevar a diagnósticos erróneos de endocarditis no bacteriana o de otra etiología infecciosa. La presencia de murmullo cardíaco, junto con síntomas sistémicos y una enfermedad infecciosa no identificable mediante los métodos tradicionales, debe alertar al médico hacia la posibilidad de que la infección sea causada por esta bacteria difícil de detectar.
Además, dado que la enfermedad de Whipple afecta múltiples sistemas del organismo, los pacientes pueden presentar una variedad de manifestaciones extrapulmonares, que incluyen afectaciones del sistema nervioso central, como encefalopatía, ataxia cerebelosa y oftalmoplejía, y complicaciones en otros órganos, como los ojos, el corazón y el sistema linfático. La afectación multisistémica es una característica distintiva que puede hacer que la enfermedad de Whipple sea difícil de diferenciar de otras enfermedades infecciosas o autoinmunitarias.
La biopsia de la mucosa del intestino delgado es un examen clave para el diagnóstico definitivo de la enfermedad de Whipple y es capaz de distinguirla claramente de otros trastornos de malabsorción como la enfermedad celíaca. En la enfermedad de Whipple, la biopsia duodenal muestra infiltración de la lámina propia por macrófagos que contienen bacilos grampositivos, que son característicos de Tropheryma whipplei. Además, estos macrófagos son PAS-positivos, lo que significa que pueden ser fácilmente visualizados mediante una tinción especial que resalta la presencia de material lipídico dentro de las células. Este hallazgo histológico es distintivo de la enfermedad de Whipple y permite diferenciarla de la enfermedad celíaca, en la cual la biopsia duodenal muestra un patrón diferente de daño a las vellosidades y no presenta la infiltración macrófaga característica.
Tratamiento
El tratamiento antibiótico de la enfermedad de Whipple resulta en una mejoría clínica dramática en el transcurso de varias semanas, incluso en aquellos pacientes que presentan compromiso neurológico. Este cambio tan notable en el estado clínico de los pacientes se debe a la erradicación de la infección crónica causada por Tropheryma whipplei, la cual afecta diversos órganos, incluidos el intestino y el sistema nervioso central. El tratamiento antibiótico adecuado puede, por tanto, detener la progresión de la enfermedad y mejorar significativamente los síntomas, como la malabsorción, la artritis y los trastornos neurológicos, como la encefalopatía o la ataxia cerebelosa, que son características de los casos más avanzados.
El régimen antibiótico óptimo para el tratamiento de la enfermedad de Whipple no está completamente definido, pero los tratamientos efectivos han mostrado incluir antibióticos de amplio espectro que son capaces de penetrar en el sistema nervioso central, dado que aproximadamente el 40% de los pacientes experimentan una infección asintomática en este órgano. Debido a que la Tropheryma whipplei puede invadir tanto los tejidos periféricos como los del sistema nervioso central, los antibióticos utilizados deben tener la capacidad de atravesar la barrera hematoencefálica para garantizar un tratamiento efectivo. En este contexto, los antibióticos recomendados son ceftriaxona o meropenem.
El régimen inicial comúnmente recomendado consiste en administrar ceftriaxona en dosis de 1 gramo intravenoso dos veces al día, o bien meropenem en dosis de 1 gramo intravenoso tres veces al día, durante un período de dos semanas. Ambos antibióticos son eficaces en el tratamiento de infecciones por Tropheryma whipplei debido a su capacidad para penetrar en el sistema nervioso central, lo que es esencial en el tratamiento de los pacientes con compromiso neurológico.
Después de las dos primeras semanas de tratamiento intensivo con estos antibióticos de amplio espectro, se sigue con un régimen de mantenimiento utilizando trimetoprim-sulfametoxazol, que se administra en dosis de 160 mg/800 mg dos veces al día durante al menos 12 meses. Este tratamiento prolongado es fundamental para garantizar la erradicación de la infección y prevenir la recaída de la enfermedad, dado que Tropheryma whipplei es una bacteria intracelular que puede persistir en tejidos durante largos períodos.
Además del tratamiento antibiótico, el seguimiento es crucial para asegurar la resolución de la infección y detectar posibles recaídas. Tras la finalización del tratamiento antibiótico, se recomienda realizar biopsias duodenales repetidas para análisis histológicos y pruebas de reacción en cadena de la polimerasa (PCR) en el líquido cefalorraquídeo, cada seis meses durante al menos un año. La biopsia duodenal permite identificar la presencia de macrófagos PAS-positivos, los cuales son característicos de la infección por Tropheryma whipplei. La ausencia de material PAS-positivo en estas biopsias, junto con la ausencia de la bacteria en el líquido cefalorraquídeo por PCR, predice una baja probabilidad de recaída clínica. Estos estudios de seguimiento son esenciales, ya que la recidiva de la enfermedad puede ocurrir incluso después de un tratamiento inicial exitoso, especialmente en aquellos con involucramiento neurológico.
Pronóstico
La enfermedad de Whipple, si no se trata, es fatal debido a la naturaleza progresiva y multisistémica de la infección provocada por Tropheryma whipplei. La falta de tratamiento adecuado permite que la bacteria continúe su propagación en el organismo, afectando gravemente varios sistemas orgánicos. La invasión crónica del sistema nervioso central, el intestino y otros órganos vitales puede provocar daños irreversibles, lo que lleva a complicaciones graves y, en última instancia, a la muerte. A lo largo del curso de la enfermedad no tratada, se observa una diseminación progresiva de la infección, que puede llevar a insuficiencia cardíaca, malnutrición severa debido a la malabsorción, insuficiencia renal, y daño permanente a las estructuras del sistema nervioso, lo que resulta en un desenlace fatal para los pacientes.
A pesar de su gravedad, la enfermedad de Whipple es tratable con antibióticos adecuados, y la intervención temprana puede evitar la mayoría de las complicaciones fatales. El tratamiento efectivo tiene como objetivo principal frenar la progresión de la enfermedad, especialmente en aquellos casos con compromiso neurológico, que es uno de los aspectos más devastadores de la enfermedad. En los pacientes con afección neurológica, algunos de los signos y síntomas, como la demencia, la ataxia cerebelosa y la oftalmoplejía, pueden volverse permanentes, incluso después de un tratamiento exitoso. Estos daños neurológicos irreversibles subrayan la importancia de un diagnóstico temprano y un tratamiento oportuno para prevenir la progresión de la enfermedad a estas fases avanzadas.
El objetivo del tratamiento es, por lo tanto, no solo erradicar la infección, sino también prevenir las secuelas más graves y progresivas. La terapia antibiótica adecuada y el seguimiento clínico estricto después del tratamiento son esenciales para evitar recaídas o nuevas complicaciones. En particular, los pacientes deben ser monitoreados de cerca durante un período prolongado después de la finalización del tratamiento, ya que la recurrencia de los síntomas puede ocurrir incluso después de que la infección haya sido aparentemente controlada. El seguimiento incluye la realización periódica de biopsias duodenales, análisis histológicos y pruebas moleculares, como la reacción en cadena de la polimerasa en el líquido cefalorraquídeo, para detectar signos de reinfección o persistencia de la bacteria. De esta forma, un control cercano y continuo de la condición del paciente permite detectar cualquier indicio temprano de recaída y, de ser necesario, iniciar un tratamiento adicional antes de que se produzcan daños irreversibles.

Fuente y lecturas recomendadas:
- Holstein A et al. Gastrointestinal Whipple’s disease: often taught but rarely seen and diagnosed late. Gastroenterol Hepatol. 2023;38:1679. [PMID: 37231581]
- Loscalzo, J., Fauci, A. S., Kasper, D. L., Hauser, S. L., Longo, D. L., & Jameson, J. L. (Eds.). (2022). Harrison. Principios de medicina interna (21.ª ed.). McGraw-Hill Education.

