Enfermedad de Whipple
Enfermedad de Whipple

Enfermedad de Whipple

La enfermedad de Whipple es una afección rara y compleja de múltiples sistemas, caracterizada por una variedad de síntomas que pueden afectar varios órganos del cuerpo. Es causada por una infección con el bacilo Tropheryma whipplei, un tipo de actinobacteria que no se cultiva fácilmente en condiciones de laboratorio estándar. La prevalencia estimada de la enfermedad de Whipple es de aproximadamente un caso por cada 100,000 individuos, lo que la convierte en una condición rara dentro del amplio espectro de enfermedades infecciosas.

La enfermedad puede manifestarse a cualquier edad; sin embargo, los estudios epidemiológicos indican que afecta con mayor frecuencia a hombres caucásicos, particularmente en sus cuartas a sextas décadas de vida. Esta tendencia demográfica sugiere que la edad y el sexo pueden desempeñar roles significativos en la susceptibilidad a la enfermedad, aunque las razones exactas de esta predisposición no se comprenden completamente.

La fuente de infección por Tropheryma whipplei sigue siendo elusiva, ya que investigaciones extensas no han identificado un reservorio definitivo o un modo de transmisión. Notablemente, no se han documentado casos de transmisión de persona a persona, lo que implica que el bacilo puede adquirirse a través de la exposición ambiental u otras rutas no identificadas. Esta falta de claridad en torno a la fuente de infección contribuye a la complejidad del diagnóstico y manejo de la enfermedad.

 

Manifestaciones clínicas

Las manifestaciones clínicas de la enfermedad de Whipple son diversas y pueden variar significativamente entre los individuos. Sin embargo, los síntomas más comunes incluyen artralgias, diarrea, dolor abdominal y pérdida de peso. Las artralgias, o la presencia de una artritis migratoria y no deformante, se observan en aproximadamente el ochenta por ciento de los casos y suelen ser el primer síntoma que experimenta el paciente. Este aspecto resalta la importancia de considerar el dolor articular en la evaluación inicial de los individuos que pueden estar afectados por esta enfermedad.

Los síntomas gastrointestinales se presentan en aproximadamente el setenta y cinco por ciento de los casos, y entre ellos se incluyen el dolor abdominal, la diarrea y un grado de malabsorción que puede manifestarse con distensión abdominal, flatulencia y esteatorrea. La malabsorción resulta de la afectación del intestino delgado, donde la bacteria Tropheryma whipplei puede interferir con la absorción adecuada de nutrientes. Esto, a su vez, puede llevar a una pérdida de peso significativa, que es el síntoma más común a la presentación clínica de la enfermedad, observándose en casi todos los pacientes. La pérdida de proteínas debido a la implicación intestinal o linfática puede resultar en enteropatía por pérdida de proteínas, lo que se traduce en niveles bajos de albúmina en sangre e edema, complicaciones que pueden afectar la calidad de vida de los pacientes.

Es notable que, en ausencia de síntomas gastrointestinales, el diagnóstico de la enfermedad de Whipple puede retrasarse durante varios años. Este retraso en el diagnóstico se debe a la variabilidad de los síntomas y a su superposición con otras enfermedades, lo que puede dificultar la identificación correcta de la afección en sus etapas iniciales. Además, la fiebre intermitente de bajo grado se observa en más del cincuenta por ciento de los casos, lo que también puede ser un síntoma inespecífico y contribuir a la confusión diagnóstica.

La diversidad de las manifestaciones clínicas y la presencia de síntomas sistémicos, junto con la dificultad para establecer un diagnóstico en ausencia de síntomas gastrointestinales prominentes, subrayan la complejidad de la enfermedad de Whipple. La identificación temprana de estas manifestaciones es crucial para iniciar el tratamiento adecuado y mejorar el pronóstico a largo plazo de los pacientes.

La exploración física de los pacientes con enfermedad de Whipple puede revelar una serie de hallazgos que son indicativos de la complejidad y gravedad de la afección. Uno de los hallazgos tardíos más significativos es la hipotensión, que puede reflejar un estado de deshidratación o una respuesta sistémica a la infección. La fiebre de bajo grado es otro síntoma común que se presenta en más de la mitad de los casos y puede ser un indicador de la actividad inflamatoria asociada con la infección.

Un hallazgo importante durante la exploración física es la evidencia de malabsorción, que puede manifestarse a través de diversos signos, como pérdida de peso y distensión abdominal. La linfadenopatía, que es el aumento del tamaño de los ganglios linfáticos, se observa en aproximadamente el cincuenta por ciento de los pacientes, lo que sugiere un compromiso sistémico de la enfermedad que puede involucrar la respuesta inmunitaria.

En algunos casos, se pueden auscultar murmullos cardíacos, que indican la posible afectación valvular, una complicación grave de la enfermedad. La infección por Tropheryma whipplei puede comprometer las válvulas cardíacas, llevando a condiciones como la endocarditis, que a su vez puede manifestarse clínicamente a través de ruidos cardíacos anormales.

La afectación de las articulaciones periféricas también es un hallazgo común; estas pueden estar aumentadas de tamaño o presentar calor, lo que indica inflamación. La presencia de edema periférico es otro síntoma que puede observarse, reflejando la posible pérdida de proteínas y la retención de líquidos en el contexto de la enteropatía por pérdida de proteínas.

Los hallazgos neurológicos son particularmente variados y pueden incluir una serie de manifestaciones que van desde la oftalmoplejía, que es la incapacidad de mover los ojos adecuadamente, hasta problemas más complejos como la demencia, que se manifiesta a través de confusión y pérdida de memoria. La ataxia cerebelosa, que afecta la coordinación y el equilibrio, puede ser otro síntoma asociado. Además, algunos pacientes pueden experimentar meningitis crónica, mielopatía y convulsiones, lo que resalta la afectación del sistema nervioso central en esta enfermedad.

Otro hallazgo significativo es la hiperpigmentación en áreas expuestas al sol, que se observa en hasta el cuarenta por ciento de los pacientes. Este fenómeno puede estar relacionado con la malabsorción de nutrientes esenciales, así como con alteraciones en la piel que resultan de la respuesta inflamatoria crónica.

 

Exámenes complementarios

Cuando la enfermedad de Whipple causa una malabsorción significativa, los pacientes pueden presentar una serie de anormalidades en los resultados de laboratorio que reflejan el compromiso de la absorción de nutrientes esenciales. La malabsorción ocurre debido a la afectación del intestino delgado, donde el bacilo Tropheryma whipplei interfiere con la capacidad del organismo para absorber adecuadamente los alimentos. Esto puede llevar a déficits nutricionales que se manifiestan en varias pruebas de laboratorio.

Una de las anormalidades más comunes asociadas con la malabsorción es la hipoproteinemia, que se refiere a niveles bajos de proteínas en la sangre. Esto puede ocurrir debido a la pérdida de proteínas en el intestino o a la incapacidad del organismo para absorber adecuadamente las proteínas de la dieta. La hipoalbuminemia, o bajos niveles de albúmina, es particularmente relevante, ya que puede resultar en edema y otras complicaciones.

Además, los pacientes pueden experimentar deficiencias en vitaminas liposolubles, como las vitaminas A, D, E y K. Estas vitaminas requieren la presencia de grasas para su absorción adecuada, y la malabsorción de grasas puede dar lugar a niveles reducidos de estas vitaminas en el organismo. La deficiencia de vitamina D, por ejemplo, puede llevar a problemas óseos, mientras que la deficiencia de vitamina K puede afectar la coagulación sanguínea.

La presencia de esteatorrea es otro hallazgo característico en pacientes con malabsorción significativa. La esteatorrea se define como la excreción de grasas no digeridas en las heces, lo que resulta en heces voluminosas, grasientas y malolientes. Este fenómeno ocurre cuando las grasas en la dieta no son adecuadamente descompuestas y absorbidas por el intestino, lo que puede ser un signo indicativo de que la mucosa intestinal está comprometida.

Las pruebas de laboratorio también pueden revelar anomalías electrolíticas, como hipocalemia, que es una disminución de los niveles de potasio, así como alteraciones en otros electrolitos, lo que puede derivarse de la pérdida de fluidos y la deshidratación. La evaluación de estas anormalidades es fundamental para la correcta gestión del paciente y para prevenir complicaciones adicionales relacionadas con la malabsorción.

 

Biopsia

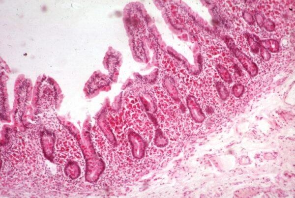
El diagnóstico de la enfermedad de Whipple se establece en el noventa por ciento de los casos mediante la realización de una biopsia endoscópica del duodeno, seguida de una evaluación histológica. Este análisis permite observar la infiltración de la lámina propia del intestino delgado por macrófagos que son positivos a la reacción de PAS, lo que indica la presencia de glucógeno en estas células. Además, estos macrófagos contienen bacilos grampositivos que no son ácido-alcohol resistentes, lo cual es característico de la infección por Tropheryma whipplei. Otra observación importante en la biopsia es la dilatación de los lacteales, que son los vasos linfáticos del intestino, indicando una posible alteración en el drenaje linfático debido a la infección.

En los casos en los que el diagnóstico no se puede establecer mediante la biopsia endoscópica, se recurren a otras técnicas diagnósticas, tales como la reacción en cadena de la polimerasa específica para Tropheryma whipplei, o la inmunohistoquímica aplicada a las biopsias duodenales o a fluidos extraintestinales, como el líquido cefalorraquídeo y el líquido sinovial. También es posible realizar biopsias de tejidos como ganglios linfáticos, sinovio o endocardio. La sensibilidad de la técnica de PCR es notablemente alta, alcanzando el noventa y siete por ciento, mientras que su especificidad es del cien por ciento. Esto convierte a la PCR en una herramienta diagnóstica extremadamente efectiva y precisa para la identificación de esta infección.

Un aspecto particularmente relevante en la evaluación de la enfermedad de Whipple es que hasta el cuarenta por ciento de los pacientes pueden presentar una infección del sistema nervioso central que es asintomática. Por lo tanto, se recomienda que la evaluación del líquido cefalorraquídeo mediante PCR para Tropheryma whipplei se realice de forma rutinaria en el proceso diagnóstico. Esta recomendación se fundamenta en la necesidad de identificar posibles complicaciones neurológicas que podrían no manifestarse clínicamente pero que son significativas en el contexto de la enfermedad.

 

Diagnóstico diferencial

La enfermedad de Whipple debe ser considerada en el diagnóstico diferencial de pacientes que presentan signos de malabsorción, fiebre de origen desconocido, linfadenopatía, artritis seronegativa, endocarditis con cultivo negativo o enfermedades multisistémicas. Esta consideración se basa en la naturaleza multisistémica de la enfermedad y en la diversidad de manifestaciones clínicas que puede presentar, las cuales a menudo se superponen con otras afecciones.

Los síntomas de malabsorción son comunes en la enfermedad de Whipple, ya que el bacilo Tropheryma whipplei afecta principalmente el intestino delgado, donde interfiere con la absorción adecuada de nutrientes. Esta malabsorción puede resultar en pérdida de peso, distensión abdominal y diarrea, síntomas que son fundamentales para el diagnóstico de la enfermedad. La fiebre de origen desconocido es otro signo que debe llamar la atención, ya que puede ser el resultado de la actividad inflamatoria sistémica asociada con la infección.

La linfadenopatía, que implica el aumento del tamaño de los ganglios linfáticos, se observa en un porcentaje significativo de pacientes con enfermedad de Whipple, lo que sugiere un compromiso del sistema inmunitario y puede ayudar a diferenciar esta condición de otras causas de malabsorción. La artritis seronegativa también puede ser un síntoma relevante, ya que muchos pacientes pueden presentar dolor articular o inflamación sin la presencia de factores reumatoides típicos. Esta manifestación puede llevar a confusiones diagnósticas con enfermedades autoinmunitarias o artritis idiopática.

La endocarditis con cultivo negativo es otra presentación que puede resultar de la enfermedad de Whipple. En estos casos, la afectación valvular puede no ser evidente mediante técnicas de cultivo convencionales, lo que subraya la importancia de considerar infecciones menos comunes como la enfermedad de Whipple en pacientes con síntomas de endocarditis.

Dado que la enfermedad de Whipple puede afectar múltiples sistemas, puede ser difícil establecer un diagnóstico claro sin una evaluación exhaustiva. Por lo tanto, la biopsia del intestino delgado se convierte en una herramienta crucial para distinguir la enfermedad de Whipple de otros trastornos de malabsorción mucosa, como la enfermedad celíaca. La histología de la biopsia en la enfermedad de Whipple revela infiltración de macrófagos cargados de bacilos grampositivos y dilatación de los lacteales, hallazgos que son distintivos y permiten un diagnóstico preciso.

 

Tratamiento

La terapia antibiótica para la enfermedad de Whipple conlleva a una mejoría clínica notable en un plazo de varias semanas, incluso en pacientes que presentan afectación neurológica. Este resultado positivo se debe a la capacidad de los antibióticos para erradicar el bacilo Tropheryma whipplei, lo que provoca una reducción de la inflamación y mejora de la función del sistema inmunológico. Sin embargo, el régimen terapéutico óptimo aún no está claramente definido, lo que refleja la necesidad de más investigaciones para determinar la combinación de fármacos más efectiva.

Generalmente, una respuesta clínica completa se observa entre uno y tres meses después de iniciar el tratamiento. A pesar de esta mejoría, es importante señalar que puede ocurrir una recaída en hasta un tercio de los pacientes tras la interrupción del tratamiento. Por esta razón, se recomienda un tratamiento prolongado, que debe extenderse durante al menos un año, para asegurar una erradicación efectiva de la infección y minimizar el riesgo de recurrencias.

La selección de fármacos que cruzan la barrera hematoencefálica es especialmente relevante en pacientes con afectación neurológica, ya que esto garantiza que el tratamiento sea efectivo en todas las áreas del cuerpo que pueden estar comprometidas. En un estudio controlado aleatorio que incluyó a cuarenta pacientes y con un seguimiento de entre tres y diez años, se demostró una tasa de remisión del cien por ciento con la administración intravenosa de ceftriaxona a una dosis de un gramo dos veces al día o de meropenem a una dosis de un gramo tres veces al día durante un período de dos semanas, seguido por trimetoprim-sulfametoxazol en dosis de 160/800 miligramos dos veces al día durante doce meses. Este protocolo de tratamiento resultó efectivo para alcanzar una remisión completa de los síntomas y una mejora significativa en la salud general de los pacientes.

Una vez finalizado el tratamiento, es fundamental realizar biopsias duodenales de control para análisis histológico y pruebas de PCR en líquido cefalorraquídeo cada seis meses durante al menos un año. Estas evaluaciones son cruciales para monitorizar la posible presencia de material positivo a la reacción de PAS, que indica la persistencia de la infección. La ausencia de este material es un predictor de baja probabilidad de recaída clínica, lo que brinda una mayor seguridad en el seguimiento del paciente después de la terapia.

 

Pronóstico

Si no se trata adecuadamente, la enfermedad de Whipple puede ser fatal, lo que subraya la gravedad de esta afección y la urgencia de una intervención médica oportuna. La infección crónica por Tropheryma whipplei puede llevar a complicaciones severas que afectan diversos sistemas del cuerpo, incluida la afectación neurológica, que puede ser irreversible. Esto significa que algunos signos neurológicos que se presentan en los pacientes pueden persistir incluso después de recibir tratamiento, lo que resalta la importancia de un enfoque terapéutico eficaz y rápido para prevenir el avance de la enfermedad y minimizar sus secuelas.

El objetivo principal del tratamiento es no solo erradicar la infección, sino también evitar la progresión de los síntomas, especialmente aquellos que pueden afectar el sistema nervioso central. Las manifestaciones neurológicas de la enfermedad de Whipple pueden incluir problemas como la demencia, la ataxia y la oftalmoplejía, entre otros. Estas complicaciones pueden comprometer gravemente la calidad de vida del paciente y, en algunos casos, dejar secuelas duraderas que afectan la función cognitiva y motora.

Por lo tanto, es fundamental que los pacientes sean monitoreados de cerca después de finalizar el tratamiento. Este seguimiento tiene como objetivo detectar cualquier signo de recurrencia de los síntomas, lo que podría indicar que la infección persiste o que se ha producido una nueva infección. Un control regular permite identificar de manera temprana cualquier complicación que pueda surgir, lo que permite una intervención rápida y efectiva.

La vigilancia continua después del tratamiento incluye evaluaciones clínicas regulares, así como pruebas específicas, como biopsias y análisis de líquido cefalorraquídeo, para garantizar que la enfermedad haya sido completamente erradicada y para prevenir el desarrollo de complicaciones a largo plazo. La ausencia de síntomas recurrentes y la normalización de los hallazgos clínicos son indicadores clave de que el paciente se está recuperando adecuadamente.

 

 

Homo medicus

 


 

Guías de estudio. Homo medicus.
Guías de estudio. Homo medicus.

¡Gracias por visitarnos!

 

Fuente y lecturas recomendadas:
  1. Elchert JA, et al. Epidemiology of Whipple’s disease in the USA between 2012 and 2017: a population-based national study. Digestive Diseases and Sciences. 2019;64:1305. [PMID: 30488239]
  2. Ferrieres L, et al. Whipple’s disease; diagnosis and predictive factor of relapse. European Journal of Gastroenterology & Hepatology. 2020;32:325. [PMID: 31764405]
  3. Hujoel IA, et al. Tropheryma whipplei infection (Whipple disease) in the USA. Digestive Diseases and Sciences. 2019;64:213. [PMID: 29572616]

 

 

Síguenos en X: @el_homomedicus  y @enarm_intensivo Síguenos en instagram: homomedicus  y en Treads.net como: Homomedicus  

🟥     🟪     🟨     🟧     🟩     🟦

Aprende administración paso a paso

Administración Desde Cero

ADMINISTRACION DESDE CERO

¿De cuánta utilidad te ha parecido este contenido?

¡Haz clic en una estrella para puntuarlo!

Promedio de puntuación 0 / 5. Recuento de votos: 0

Hasta ahora, ¡no hay votos!. Sé el primero en puntuar este contenido.

Ya que has encontrado útil este contenido...

¡Sígueme en los medios sociales!

Si te fue útil este resumen, compártelo por favor!