El cáncer de mama, debido a su complejidad biológica, presenta una amplia variedad de subtipos patológicos que pueden ser identificados histológicamente, es decir, a través del examen detallado de las células y tejidos tumorales bajo el microscopio. Esta diversidad de subtipos no solo se debe a las diferencias en la morfología de los tumores, sino también a las variaciones en los patrones de crecimiento, las características biológicas y las respuestas a los tratamientos.
Tipos histológicos del cáncer de mama
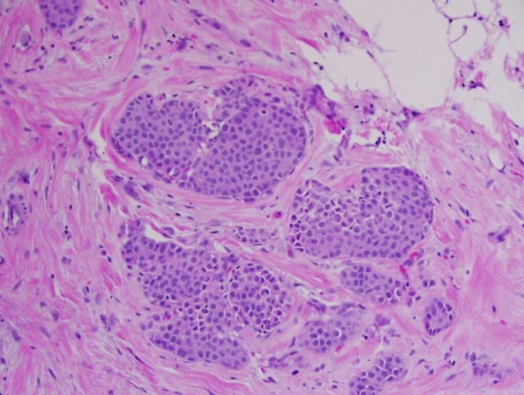
Cáncer de mama invasivo: Uno de los subtipos más comunes es el carcinoma ductal infiltrante, que constituye entre el 80 y el 90 % de los casos de cáncer de mama invasivo. Este tipo de tumor se origina en los conductos mamarios, pero a diferencia de los cánceres no invasivos, tiene la capacidad de invadir el tejido mamario circundante y diseminarse a otras partes del cuerpo. Su diagnóstico se basa en la presencia de células malignas que han atravesado la membrana basal del conducto mamario y han invadido el estroma mamario.
El carcinoma lobulillar invasivo representa otro subtipo común, constituyendo entre el 6 y el 8 % de los casos. Este tipo de cáncer se origina en los lobulillos, las glándulas productoras de leche. A diferencia del carcinoma ductal, el carcinoma lobulillar tiene una tendencia más difusa en su patrón de crecimiento y es más difícil de detectar mediante mamografía.
Existen otros subtipos menos frecuentes de cáncer invasivo, como el carcinoma medular (entre el 2 y el 4 %), el carcinoma mucinoso o coloidal (entre el 1 y el 2 %), el carcinoma tubular (entre el 1 y el 2 %) y el carcinoma papilar(entre el 1 y el 2 %). Estos tumores suelen presentar características morfológicas específicas, como una mayor diferenciación celular, lo que a menudo se asocia con un mejor pronóstico.
Cánceres no invasivos: En los cánceres no invasivos, el tumor se limita al área donde se originó y no ha invadido el tejido circundante. Un ejemplo es el carcinoma ductal in situ, que se refiere a la proliferación de células malignas dentro de los conductos mamarios sin haber invadido los tejidos cercanos. Este tipo se detecta frecuentemente en mamografías y, aunque no tiene la capacidad de hacer metástasis, puede evolucionar a un cáncer invasivo si no se trata adecuadamente.
El carcinoma lobulillar in situ, que representa entre el 2 y el 3 % de los casos, se origina en los lobulillos mamarios. Aunque este tipo también es considerado un marcador de riesgo para el desarrollo de un futuro cáncer de mama, no es un cáncer per se, ya que las células anormales no se han diseminado.
Cánceres raros: Existen también subtipos raros de cáncer de mama, como el cáncer secreto juvenil (o cancer secretor), que es muy poco frecuente y generalmente se presenta en mujeres jóvenes. Otro subtipo raro es el cáncer adenoide quístico, que tiene un patrón de crecimiento específico y puede involucrar estructuras glandulares. También existen tipos como el carcinoma epidermoide, carcinoma sudorífero y otros tipos muy poco frecuentes, que constituyen menos del 1 % de los casos.
Importancia de la identificación histológica
La identificación precisa de estos subtipos histológicos es crucial, ya que cada uno tiene características biológicas distintas que influyen en el pronóstico y en las decisiones terapéuticas. Por ejemplo, el carcinoma ductal invasivo, que es el más común, tiende a ser más agresivo y tiene mayor potencial de metastatizar, mientras que los carcinomas mucinosos o tubulares, aunque también invasivos, suelen tener un comportamiento menos agresivo y un pronóstico más favorable.
El análisis histológico detallado no solo proporciona una clasificación precisa del tumor, sino que también permite la evaluación de factores adicionales, como la diferenciación celular, la presencia de invasión linfovascular y la expresión de receptores hormonales o HER2. Estos factores son esenciales para definir el tratamiento más adecuado para cada paciente.
La influencia de los subtipos histológicos del cáncer de mama sobre el pronóstico, en general, es relativamente limitada cuando se consideran los resultados de los pacientes tras una estadificación precisa, con la excepción de los cánceres in situ. Esto se debe a que, si bien los diferentes subtipos histológicos del cáncer de mama presentan características morfológicas y biológicas distintivas, en términos de su comportamiento clínico y su respuesta al tratamiento, el pronóstico está más determinado por factores específicos relacionados con la extensión y la biología molecular del tumor, en lugar de las características histológicas puras.
Cánceres no invasivos y su pronóstico
Los cánceres no invasivos, por definición, están confinados por la membrana basal de los conductos mamarios o de los lobulillos y, por lo tanto, no tienen la capacidad de invadir el tejido mamario circundante ni de diseminarse a otras partes del cuerpo. Un ejemplo típico de cáncer no invasivo es el carcinoma ductal in situ. Este tipo de tumor está limitado a su lugar de origen y no se ha infiltrado en los tejidos circundantes. Aunque, en general, estos tumores no presentan un riesgo inmediato de metástasis, el pronóstico de los pacientes con cáncer de mama no invasivo sigue siendo favorable si se realiza un tratamiento adecuado. En este contexto, los subtipos histológicos dentro de los cánceres in situ, aunque útiles para caracterizar el tumor a nivel microscópico, no afectan de manera significativa el pronóstico, dado que el riesgo de diseminación es extremadamente bajo.
Cánceres invasivos y los factores pronósticos
Por otro lado, los cánceres invasivos, que son los que tienen la capacidad de invadir los tejidos circundantes y diseminarse a través del sistema linfático o sanguíneo, presentan un panorama mucho más complejo y, por lo tanto, su pronóstico se ve influenciado por una variedad de factores histológicos y biológicos. En este caso, la histología del tumor sigue siendo importante, pero no es el único determinante del pronóstico.
Uno de los parámetros histológicos más relevantes para los cánceres invasivos es la invasión linfovascular, que se refiere a la propagación de las células tumorales a través de los vasos sanguíneos o linfáticos cercanos. La presencia de invasión linfovascular indica una mayor probabilidad de que las células cancerosas puedan diseminarse a otras partes del cuerpo, lo que incrementa el riesgo de metástasis y, por ende, afecta negativamente el pronóstico. Este factor es, por lo tanto, crucial para estimar la agresividad del tumor y la probabilidad de recurrencia.
El grado tumoral es otro parámetro histológico de gran importancia. Este concepto hace referencia al grado de diferenciación de las células tumorales en comparación con las células normales del tejido mamario. Los tumores con un alto grado de diferenciación (grado bajo) tienden a tener un comportamiento más indolente y son menos propensos a diseminarse, mientras que los tumores con un grado de diferenciación bajo (grado alto) suelen ser más agresivos y tienen una mayor probabilidad de recurrencia o metástasis. El grado tumoral es, por lo tanto, un indicador clave en la estimación del pronóstico de los pacientes con cáncer de mama invasivo.
El papel de la inmunohistoquímica
Además de los parámetros histológicos tradicionales, el análisis inmunohistoquímico ha revolucionado la forma en que se evalúa el pronóstico y la terapéutica del cáncer de mama. La inmunohistoquímica permite la detección de ciertas proteínas específicas que son características de los tumores mamarios y proporcionan información crucial sobre su biología molecular. En particular, la expresión de los receptores hormonales (como los receptores de estrógeno y progesterona) y la sobreexpresión de HER2 son dos factores pronósticos fundamentales.
La presencia de receptores hormonales en las células tumorales se asocia con una mejor respuesta a las terapias hormonales, como el tamoxifeno o los inhibidores de la aromatasa, lo que generalmente mejora el pronóstico de los pacientes. Por el contrario, los tumores HER2 positivos, que sobreexpresan la proteína HER2, tienden a ser más agresivos y tienen un mayor riesgo de recaída. Sin embargo, el tratamiento dirigido con inhibidores de HER2, como el trastuzumab, ha mejorado significativamente el pronóstico de estos pacientes.
El análisis inmunohistoquímico no solo proporciona información sobre la agresividad del tumor, sino que también permite personalizar el tratamiento, adaptándolo a las características moleculares específicas de cada tumor. Esto es fundamental, dado que la respuesta al tratamiento varía significativamente entre los diferentes subtipos de cáncer de mama, incluso cuando los tumores son histológicamente similares.

Fuente y lecturas recomendadas:
- Goldman, L., & Schafer, A. I. (Eds.). (2020). Goldman-Cecil Medicine (26th ed.). Elsevier.
- Loscalzo, J., Fauci, A. S., Kasper, D. L., Hauser, S. L., Longo, D. L., & Jameson, J. L. (Eds.). (2022). Harrison. Principios de medicina interna (21.ª ed.). McGraw-Hill Education.
- Papadakis, M. A., McPhee, S. J., Rabow, M. W., & McQuaid, K. R. (Eds.). (2024). Diagnóstico clínico y tratamiento 2025. McGraw Hill.
- Rozman, C., & Cardellach López, F. (Eds.). (2024). Medicina interna (20.ª ed.). Elsevier España.

