¿Qué es un gastrinoma?
¿Qué es un gastrinoma?

¿Qué es un gastrinoma?

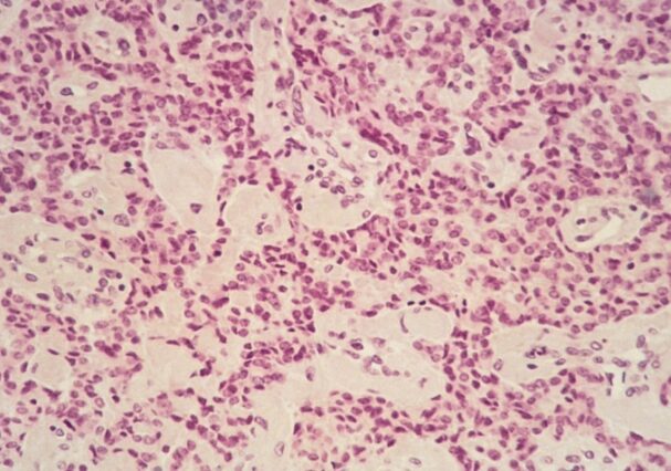
Los gastrinomas son un tipo de tumor neuroendocrino que se origina en las células productoras de gastrina en el páncreas o en el duodeno, que es la primera parte del intestino delgado. La gastrina es una hormona que juega un papel clave en la regulación de la producción de ácido en el estómago. En condiciones normales, la gastrina estimula las células del estómago para que produzcan ácido gástrico, pero cuando se produce en exceso debido a un gastrinoma, puede causar un aumento incontrolado de los niveles de ácido gástrico en el estómago, lo que lleva a una afección conocida como síndrome de Zollinger-Ellison.

El síndrome de Zollinger-Ellison es una condición rara pero grave que se caracteriza por la secreción excesiva de ácido gástrico en el estómago. Este aumento del ácido puede provocar la formación de úlceras pépticas en el estómago, el duodeno y otras partes del tracto gastrointestinal. Las úlceras pépticas pueden causar síntomas como dolor abdominal, náuseas, vómitos, pérdida de peso y sangrado gastrointestinal.

Cerca de la mitad de los gastrinomas son malignos, lo que significa que son cancerosos y tienen la capacidad de propagarse a otras partes del cuerpo, particularmente al hígado, donde suelen formar metástasis. Debido a esta tendencia metastásica, los gastrinomas pueden ser difíciles de tratar en etapas avanzadas.

En cuanto a su localización, los gastrinomas pueden encontrarse en el duodeno en aproximadamente el 49% de los casos, en el páncreas en alrededor del 24% de los casos y en los ganglios linfáticos en aproximadamente el 11% de los casos. Su ubicación en el páncreas o el duodeno puede hacer que el diagnóstico sea desafiante, ya que estos órganos son difíciles de visualizar con los métodos de imagen convencionales.

Los gastrinomas esporádicos rara vez se sospechan inicialmente cuando inician los síntomas, lo que puede llevar a un retraso en el diagnóstico. Esto se debe en parte a que los síntomas del síndrome de Zollinger-Ellison pueden confundirse con otras condiciones gastrointestinales más comunes, como la enfermedad de reflujo gastroesofágico o las úlceras pépticas.

Cerca del 22% de los gastrinomas se originan en pacientes con el síndrome de neoplasia endocrina múltiple tipo 1 (MEN 1), una enfermedad hereditaria que se caracteriza por el desarrollo de tumores en múltiples glándulas endocrinas, incluido el páncreas. En estos casos, los gastrinomas suelen presentarse en individuos jóvenes y pueden estar asociados con la presencia de múltiples tumores en diferentes órganos.

Es importante destacar que el diagnóstico y tratamiento adecuados del gastrinoma y el síndrome de Zollinger-Ellison son esenciales para controlar los síntomas, prevenir complicaciones graves y mejorar la calidad de vida del paciente. El manejo de los gastrinomas a menudo involucra una combinación de terapias, incluyendo cirugía, medicamentos para reducir la producción de ácido gástrico y el control de las metástasis en casos avanzados. El seguimiento y la atención multidisciplinaria por parte de un equipo médico experimentado son fundamentales para brindar el mejor cuidado a los pacientes con gastrinomas.

 

 

 

Homo medicus

 


 

Guías de estudio. Homo medicus.
Guías de estudio. Homo medicus.
Síguenos en X: @el_homomedicus  y @enarm_intensivo Síguenos en instagram: homomedicus  y en Treads.net como: Homomedicus  

🟥     🟪     🟨     🟧     🟩     🟦

Aprende administración paso a paso

Administración Desde Cero

ADMINISTRACION DESDE CERO

¿De cuánta utilidad te ha parecido este contenido?

¡Haz clic en una estrella para puntuarlo!

Promedio de puntuación 0 / 5. Recuento de votos: 0

Hasta ahora, ¡no hay votos!. Sé el primero en puntuar este contenido.

Ya que has encontrado útil este contenido...

¡Sígueme en los medios sociales!

Si te fue útil este resumen, compártelo por favor!