Los epitelios son láminas celulares que a menudo residen en la interfaz entre el entorno externo y los órganos del cuerpo, incluida la piel, el intestino, las vías respiratorias, los riñones, el hígado, las glándulas mamarias y la próstata. Realizan una amplia gama de funciones fisiológicas, incluida la capacidad de retener líquidos corporales, absorber nutrientes, filtrar y eliminar subproductos tóxicos del metabolismo y regular la temperatura corporal. Cada epitelio se adapta morfológica y molecularmente a su tarea particular, una característica que requiere linajes celulares especializados.
La mayoría de las células epiteliales tienen un tiempo de vida finito menor que el del organismo como un todo. La mayoría de los epitelios se reponen mediante un proceso llamado homeostasis tisular, en el que el número de divisiones celulares dentro de un tejido compensa el número de células perdidas. La homeostasis tisular está asegurada por la existencia de células madre ubicadas dentro de microambientes especializados, denominados nichos. Cada nicho está diseñado para adaptarse a las necesidades de regeneración del tejido
Los epitelios superficiales y los epitelios de muchas glándulas simples pertenecen a la categoría de poblaciones celulares de renovación continua.
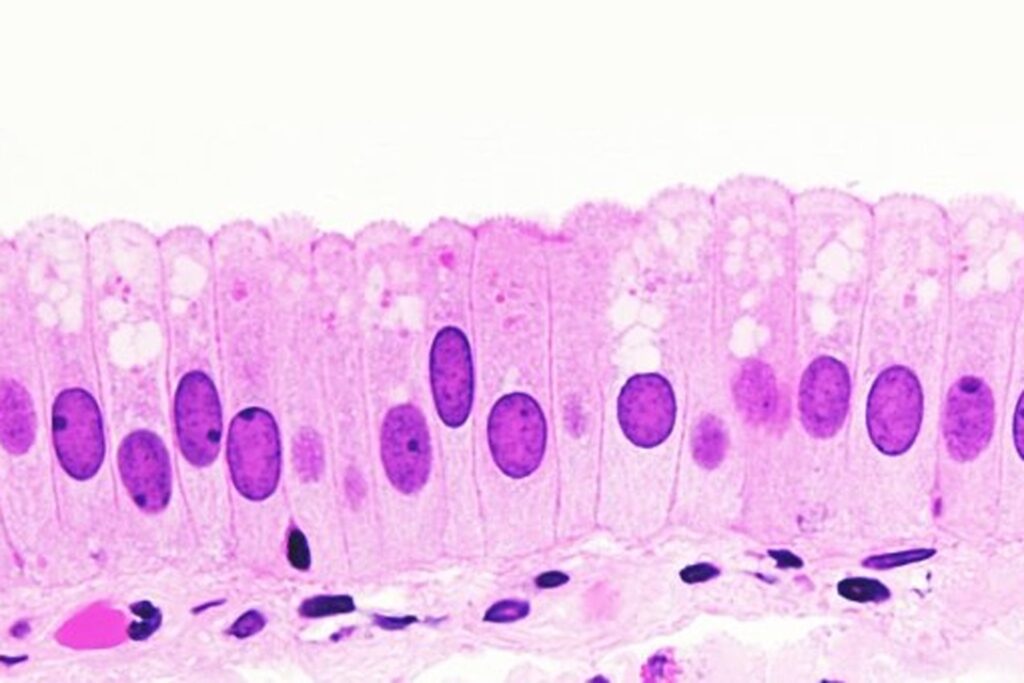
Las células que recubren el intestino delgado se renuevan cada 4 a 6 días en los seres humanos. Las células de reemplazo se producen por la actividad mitótica de células madre adultas autorrenovables ubicados en sitios denominados nichos.
En el intestino delgado, los nichos de éstas células adultas se ubican en la porción inferior de las glándulas intestinales. Después migran y se diferencian en cuatro tipos celulares principales:
- enterocitos (células de absorción cilíndricas)
- las células caliciformes (secretoras de moco)
- células enteroendocrinas (que regulan y segregan hormonas)
- las células de Paneth, migran hacia abajo y habitan en el fondo de la cripta.
En el intestino delgado, el epitelio está organizado en una unidad de criptovellosidades. La cripta está compuesta de células basales columnares entremezcladas con células de Paneth en la base de la cripta; un compartimento superpuesto de células amplificadoras de tránsito se divide varias veces y luego se diferencia terminalmente para generar las células absorbentes y secretoras de las vellosidades. Posteriormente, las células de las vellosidades se eliminan en el lumen, lo que da como resultado un recambio continuo de toda la cripta cada 3 a 5 días.
La epidermis de la piel y sus apéndices (folículos pilosos, glándulas sebáceas y glándulas sudoríparas) albergan nichos de células madre espacialmente distintos. La capa más interna (basal) de la epidermis interfolicular alberga progenitores proliferativos, que generan las capas estratificadas de la barrera cutánea.
El epitelio estratificado plano de la piel se reemplaza casi en su totalidad cada 47 días aproximadamente. Las células de la capa basal de la epidermis, denominadas estrato basal (germinativo), sufren mitosis para hacer efectiva la renovación celular. A medida que se diferencian, las células son empujadas hacia la superficie por nuevas células en la capa basal. Por último, las células se queratinizan y se exfolian.
En otros epitelios, en particular en glándulas más complejas, las células individuales pueden vivir durante un largo tiempo, y la división celular es rara una vez que alcanzan el estado de madurez. Estas células epiteliales son características de poblaciones celulares estables en las que existe actividad mitótica relativamente menor. La pérdida de cantidades importantes de tejido se recupera mediante una activa proliferación de células.


