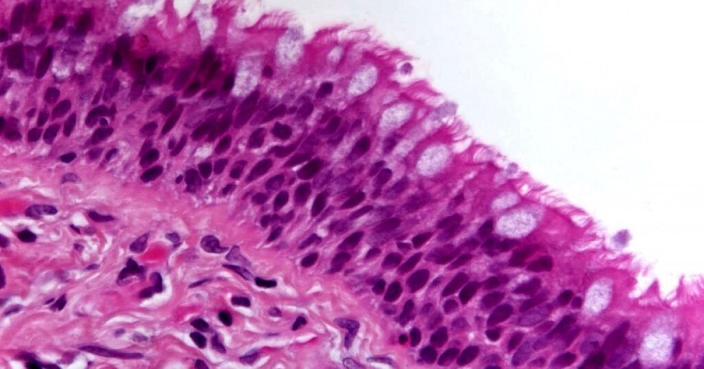
El epitelio tapiza las superficies del cuerpo, reviste las cavidades corporales y forma glándulas. El epitelio es un tejido avascular que está compuesto por células que recubren las superficies externas del cuerpo y revisten las cavidades internas cerradas, incluido el sistema vascular, y los conductos corporales que comunican con el exterior como lo son los sistemas digestivo, respiratorio y genitourinario.
El epitelio también forma la porción secretora o parénquima de las glándulas y sus conductos excretores. Además, existen células epiteliales especializadas que funcionan como receptores sensoriales como los sentidos del olfato, gusto, oído y visión.
Las células que integran los epitelios poseen tres características principales:
- Están dispuestas muy cerca unas de otras y se adhieren entre sí mediante uniones intercelulares especializadas.
- Tienen polaridad funcional y morfológica, es decir que las diferentes funciones se asocian con tres regiones superficiales de morfología distinta cuyas propiedades están determinadas por lípidos específicos y proteínas integrales de la membrana:
- una superficie libre o región apical
- una región lateral
- una región basal.
- Su superficie basal se apoya en una membrana basal subyacente, la cual es rica en proteínas y polisacáridos.
En algunos sitios, las células se agrupan estrechamente entre sí y carecen de una superficie libre, aunque la estrecha cercanía de estas células y la presencia de una membrana basal permiten clasificarlas como epitelio, la falta de una superficie libre hace más apropiada la clasificación de este conjunto celular como tejido epitelioide. Las células epitelioides derivan de células mesenquimales progenitoras. La organización epitelioide es típica en la mayoría de las glándulas endocrinas; como las células intersticiales de Leydig de los testículos, las células luteínicas del ovario, los islotes de Langerhans del páncreas, el parénquima de la glándula suprarrenal y el lóbulo anterior de la glándula hipófisis. Las células epiteliales reticulares del timo también pueden ser incluidas en esta categoría.
El tejido epitelial crea una barrera selectiva entre el medio externo y el tejido conjuntivo subyacente. Los epitelios de revestimiento forman una lámina celular continua que separa el tejido conjuntivo subyacente o adyacente del medio externo, de las cavidades internas o del tejido conjuntivo líquido como la sangre y la linfa. Este revestimiento epitelial funciona como una barrera selectiva capaz de facilitar o inhibir el intercambio de sustancias específicas entre el medio externo y el compartimiento de tejido conjuntivo subyacente.
Síguenos en X: @el_homomedicus y @enarm_intensivo Síguenos en instagram: homomedicus y en Treads.net como: Homomedicus


