Un derrame pleural es una acumulación anormal de líquido en el espacio pleural. Hay un movimiento constante de líquido de los capilares pleurales parietales al interior del espacio pleural a una velocidad de 0.01 ml/kg de peso corporal/h. El líquido pleural se absorbe a través de linfáticos pleurales y parietales. Hay entre 5 a 15 ml de líquido en el espacio pleural normal.
Causas
- Un derrame pleural puede ser causado por un aumento de la producción de líquido con capilares normales por incremento de la presión hidrostática.
- Un derrame pleural puede ser causado por la disminución de la presión oncótica (trasudado) en los capilares normales.
- Una mayor producción de líquido por permeabilidad capilar anormal (exudado) puede causar un derrame pleural.
- La disminución de la eliminación linfática de líquido del espacio pleural (exudado) puede ser causa de un derrame pleural.
- Tanto una infección en el espacio pleural (empiema) como una hemorragia hacia el espacio pleural (hemotórax), son causas de derrame pleural.
- Los derrames pleurales paraneumónicos son exudados que acompañan a las neumonías bacterianas.
El hemotórax es la presencia de sangre evidente en el espacio pleural y suele ser consecutivo a traumatismo o instrumentación torácica. El líquido pleural francamente purulento representa empiema, una infección del espacio pleural. Las causas más frecuentes de derrame pleural exudativo son neumonía bacteriana y cáncer.
Los casos de insuficiencia cardiaca componen 90% de los trasudados pleurales. Casi cualquier forma de cáncer puede ocasionar derrames, pero las causas más frecuentes son cáncer de pulmón y de mama.
El término derrame pleural “paramaligno” denota un derrame en un individuo canceroso, cuando los intentos reiterados de identificar células cancerosas en la pleura o el líquido pleural no confirman el diagnóstico, pero cuando se sospecha una relación con un cáncer oculto.
Manifestaciones clínicas
Los pacientes con derrames pleurales refieren con mayor frecuencia disnea, tos o dolor torácico respiratorio fásico.
👉En los derrames pequeños casi nunca hay datos físicos.
👉Los derrames más grandes pueden presentarse con matidez a la percusión y disminución o ausencia de los ruidos respiratorios sobre el derrame.
Un derrame pleural masivo con aumento de la presión intrapleural puede propiciar desviación contralateral de la tráquea y abultamiento de los espacios intercostales
Exámenes complementarios
Una concentración mayor de amilasa en el líquido pleural sugiere pancreatitis, seudoquiste pancreático, adenocarcinoma del pulmón o del páncreas, o rotura del esófago.
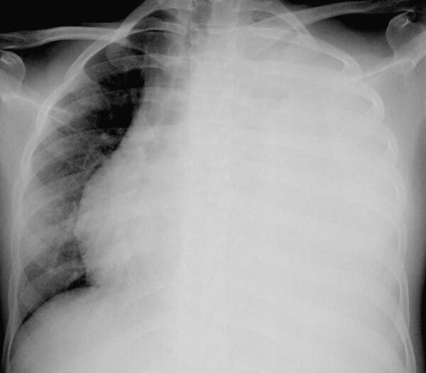
Debe haber cerca de 75 a 100 ml de líquido pleural en el surco costofrénico posterior para ser visibles en la imagen lateral y 175 a 200 ml en el surco costofrénico lateral para delinearse en la imagen frontal de una radiografía de tórax en posición supina. El líquido pleural puede quedar atrapado (tabicado) por adherencias pleurales y formar en consecuencia acumulaciones poco comunes a lo largo de la pared lateral del tórax o dentro de cisuras pulmonares.
El derrame pleural masivo que causa opacificación de la totalidad de un hemitórax se debe con mayor frecuencia a cáncer, pero puede observarse en la tuberculosis y otras enfermedades.
Tratamiento
Los derrames pleurales trasudativos suelen aparecer sin una enfermedad pleural. El tratamiento se dirige al padecimiento subyacente. Por lo común los derrames cancerosos asintomáticos no necesitan tratamiento específico; si el cuadro es sintomático se realiza toracocentesis terapéutica.
Los derrames paraneumónicos no complicados son exudados estériles de tamaño moderado que fluyen en forma libre y se resuelven con rapidez mediante la antibioticoterapia de la neumonía.
El empiema es una infección franca del espacio pleural que debe drenarse mediante toracostomía con sonda para facilitar la eliminación de la infección y reducir la probabilidad de inclusión fibrosa del pulmón.
El drenaje por toracostomía con sonda del empiema o los derrames paraneumónicos suele ser complicado por la loculación que impide el drenaje adecuado.
El hemotórax se trata con la inserción de una sonda de toracostomía de diámetro grande para drenar la sangre y los coágulos, cuantificar la hemorragia, reducir el riesgo de fibrotórax y permitir la aposición de las superficies pleurales para reducir la hemorragia.

Síguenos en X: @el_homomedicus y @enarm_intensivo Síguenos en instagram: homomedicus y en Treads.net como: Homomedicus

