- Dos formas inusuales de la enfermedad de Gaucher, los tipos II y III, implican acumulación neurológica de esfingolípidos y una diversidad de trastornos neurológicos.
- El tipo II inicia en la lactancia y tiene mal pronóstico.
Manifestaciones
- La anemia y la trombocitopenia son frecuentes y pueden ser sintomáticas debidas a hiperesplenismo, pero la infiltración de médula ósea por células de Gaucher puede ser un factor contribuyente.
- Las erosiones corticales de los huesos, en especial vértebras y fémur, se deben a
infartos locales. - Dolor óseo
- Una fractura de cadera en un paciente de cualquier edad con un bazo palpable sugiere la posibilidad de enfermedad de
Gaucher. - Neuropatía periférica
Datos de laboratorio
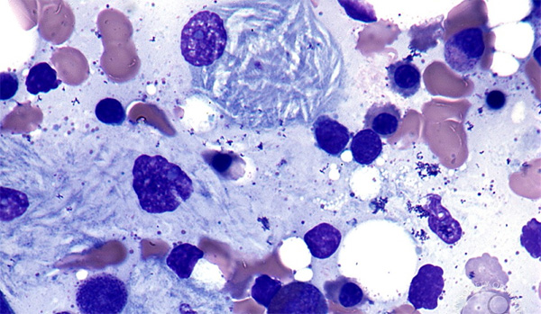
Los aspirados de médula ósea revelan células de Gaucher típicas.
Las células de Gaucher tienen núcleo excéntrico e inclusiones positivas a la tinción con ácido peryódico de Schiff, además de citoplasma arrugado y cuerpos de inclusión de tipo fibrilar.
Aumento de la fosfatasa ácida sérica.
Actividad deficiente de la glucocerebrosidasa en leucocitos.
Es posible determinar el diagnóstico prenatal mediante análisis de mutación.
Tratamiento
Tratamiento se sustitución enzimática con una forma recombinante de la enzima glucocerebrosidasa (imiglucerasa) administrada de forma intravenosa regularmente permite la disminución de las reservas corporales totales de glucolípidos con mejoría de las manifestaciones ortopédicas y hematológicas.
El tratamiento temprano de niños afectados normaliza el crecimiento y la densidad mineral en el hueso a la vez que mejora el funcionamiento hepático y el tamaño del bazo, la anemia y la trombocitopenia.
En adultos con trombocitopenia debida a secuestro esplénico, la reposición enzimática evita la necesidad de esplenectomía.
El fármaco miglustat, disminuye la producción de glucocebrósido pero tiene efectos secundarios mal tolerados.
Pronóstico
Los individuos heterocigotos para la enfermedad de Gaucher pueden tener mayor riesgo de sufrir enfermedad de Parkinson.
Riesgo aumentado de cáncer, en especial mieloma múltiple y otros cánceres hematológicos.


