El cartílago es un tejido avascular que consiste en condrocitos y una matriz extracelular extensa. Más del 95 % del volumen del cartílago corresponde a la matriz extracelular, que es un elemento funcional de este tejido.
Los condrocitos son escasos en el tejido cartilaginoso pero indispensables para la producción y el mantenimiento de la matriz.
La matriz extracelular del cartílago es sólida y firme pero también maleable, a lo cual se debe su flexibilidad.
La gran proporción de glucosaminoglucanos con respecto a las fibras de colágeno tipo II en la matriz del cartílago permite la difusión de sustancias desde los vasos sanguíneos del tejido conjuntivo circundante hacia los condrocitos dispersos dentro de la matriz, con lo que se mantiene la viabilidad del tejido.
El cartílago es un tejido fundamental para el desarrollo del esqueleto fetal y para la mayoría de los huesos en crecimiento.
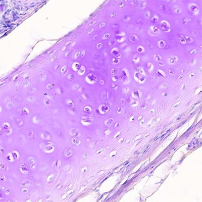
Según las características de su matriz, se distinguen tres tipos de cartílago que difieren en cuanto a su aspecto y sus propiedades mecánicas:
- Cartílago hialino, que se caracteriza por una matriz que contiene fibras de colágeno tipo II, glucosaminoglucanos, proteoglucanos y glucoproteínas multiadhesivas.
- Cartílago elástico, que se caracteriza por fibras elásticas y laminillas elásticas además de material de matriz de cartílago hialino.
- Cartílago fibroso (fibrocartílago), que se caracteriza por abundantes fibras de colágeno tipo I, además de material de matriz del cartílago hialino.
La matriz de cartílago hialino tiene aspecto vítreo en el estado vivo, de ahí el nombre hialino (hyalos, vidrio). En toda la extensión de la matriz cartilaginosa hay espacios llamados lagunas. Dentro de estas lagunas se encuentran los condrocitos. Las macromoléculas de la matriz del cartílago hialino consisten en colágeno (con predominio de fibrillas de colágeno tipo II y otras moléculas de colágeno específicas del cartílago), aglomeraciones de proteoglucanos que contienen glucosaminoglucanos y glucoproteínas multiadhesivas (proteínas no colágenas).
El cartílago elástico se distingue por la presencia de elastina en la matriz cartilaginosa. Además de contener los componentes normales de la matriz del cartílago hialino, la matriz del cartílago elástico también contiene una densa red de fibras elásticas ramificadas y anastomosadas y láminas interconectadas de material elástico. El material elástico imparte propiedades elásticas al cartílago, además de la distensibilidad y maleabilidad que son características del cartílago hialino.
El fibrocartílago es una combinación de tejido conjuntivo denso modelado y cartílago hialino. Los condrocitos están dispersos entre las fibrillas de colágeno solos, en hileras y formando grupos isógenos. Dentro de las regiones fibrosas se ven núcleos que están aplananados o alargados. Estos son núcleos de fibroblastos. La matriz extracelular del cartílago fibroso se caracteriza por la presencia de fibrillas de colágeno tipo I y II.

Síguenos en X: @el_homomedicus y @enarm_intensivo Síguenos en instagram: homomedicus y en Treads.net como: Homomedicus

