Los ovarios poseen dos funciones interrelacionadas:
- la gametogénesis (producción de gametos)
- la esteroidogénesis (producción de esteroides).
La producción de gametos se denomina ovogénesis. Los gametos en desarrollo se conocen como oocitos; los gametos maduros se denominan óvulos.
Los ovarios secretan dos grupos principales de hormonas esteroides:
- los estrógenos
- los progestágenos.
Los estrógenos promueven el crecimiento y la maduración de los órganos sexuales internos y externos y producen las características sexuales femeninas que se desarrollan en la pubertad. Los estrógenos también actúan sobre las glándulas mamarias para promover el desarrollo de las mamas al estimular el crecimiento de los conductos y la estroma y la acumulación de tejido adiposo.
Los progestágenos preparan los órganos sexuales internos, sobre todo el útero, para el embarazo al promover cambios secretores en el endometrio. Los progestágenos también preparan la glándula mamaria para la lactación al promover la proliferación de los lobulillos.
Estructura
En las nulíparas, los ovarios son estructuras pares blanco rosadas con forma de almendra. Antes de la pubertad, la superficie del ovario es lisa, pero durante la vida reproductiva adquiere cada vez más cicatrices y se torna irregular debido a las ovulaciones repetidas. En la mujer posmenopáusica, los ovarios tienen aproximadamente un cuarto del tamaño observado durante el periodo reproductivo.
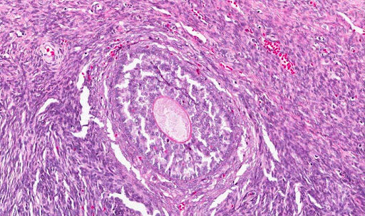
El ovario está compuesto por una corteza y una médula. La médula o región medular está ubicada en la porción central del ovario y contiene tejido conectivo laxo, una masa de vasos sanguíneos tortuosos bastante grandes, vasos linfáticos y nervios. La corteza o región cortical se encuentra en la porción periférica del ovario y rodea la médula. La corteza contiene los folículos ováricos incluidos en un tejido conjuntivo muy celular. En la estroma que rodea los folículos hay fibras de músculo liso dispersas. El límite entre la médula y la corteza no está definido.
La superficie del ovario está cubierta por una capa individual de células cubicas y, en algunas partes, células casi planas. Esta capa celular, conocida como epitelio germinativo, se continúa con el mesotelio que tapiza el mesovario.
Las células germinativas primordiales tienen un origen extragonadal y migran desde el saco vitelino embrionario hacia la corteza de la gónada embrionaria, donde se diferencian e inducen la diferenciación del ovario.
Una capa de tejido conjuntivo denso, la túnica albugínea, se localiza entre el epitelio germinativo y la corteza subyacente.
Los folículos ováricos de varios tamaños, cada uno con un solo ovocito, están distribuidos en la estroma de la corteza. El tamaño del folículo indica el estado de desarrollo del ovocito.

Fuente y lecturas recomendadas
- Pawlina, W. (2016). Histology: A text and atlas. With correlated cell and molecular biology (7ª ed.). Wolters Kluwer.

