La glomeruloesclerosis segmentaria focal (FSGS) es un patrón relativamente común de lesión renal que se origina por el daño a los podocitos, células especializadas en la membrana basal de los glomérulos renales, las cuales son cruciales para el proceso de filtración en los riñones. La FSGS puede clasificarse en dos grandes tipos: una forma primaria, limitada al riñón, y una forma secundaria, que resulta de otras enfermedades o condiciones subyacentes. La distinción entre estas dos formas es clave para su diagnóstico y tratamiento adecuado, ya que las causas subyacentes y los mecanismos patológicos varían considerablemente.
El FSGS es una enfermedad renal que afecta principalmente los glomérulos, causando esclerosis o cicatrización segmentaria y focal, lo que implica que solo una parte de los glomérulos está involucrada. Este daño puede llevar a una pérdida progresiva de la función renal, y su severidad depende tanto de la extensión de la esclerosis como de la capacidad de los riñones para compensar el daño.
Causas Primarias de FSGS
Las etiologías de la FSGS primaria, es decir, aquellas que afectan directamente a los podocitos y no son causadas por otros trastornos sistémicos, se dividen en tres categorías principales:
Anomalías hereditarias en proteínas del podocito o mutaciones en el colágeno tipo 4: Los podocitos desempeñan un papel esencial en la barrera de filtración glomerular. Cuando hay alteraciones genéticas que afectan a las proteínas del podocito, como la podocina, la nephrin, o el colágeno tipo 4, la función de esta barrera se ve comprometida. Estas mutaciones pueden ser heredadas de manera autosómica recesiva o dominante, lo que causa una alteración en la estructura y funcionalidad de los podocitos, contribuyendo a la aparición de la FSGS. En este contexto, la disfunción de los podocitos genera una filtración inapropiada de proteínas, lo que resulta en proteinuria, uno de los principales síntomas de la enfermedad.
Polimorfismos en el gen APOL1 en individuos de ascendencia sub-sahariana africana: Estudios recientes han identificado que las personas de ascendencia africana tienen variantes genéticas en el gen APOL1, las cuales están asociadas con un riesgo significativamente mayor de desarrollar FSGS. Estas variantes genéticas parecen aumentar la susceptibilidad a la enfermedad mediante mecanismos no completamente comprendidos, pero se ha sugerido que podrían alterar la función de los podocitos o la respuesta del sistema inmunológico a factores dañinos, promoviendo el daño glomerular.
Aumento de los niveles de un factor de permeabilidad circulante aún no identificado: En algunos casos, se ha propuesto que un factor de permeabilidad circulante, cuya naturaleza aún no ha sido completamente identificada, podría desempeñar un papel en la patogénesis de la FSGS. Este factor, que se encuentra en la circulación sanguínea, podría alterar la función de la barrera glomerular, contribuyendo a la pérdida de proteínas en la orina y a la progresión de la enfermedad. La investigación en este área sigue siendo activa, y se espera que en el futuro se identifique este factor para poder desarrollar tratamientos específicos.
Causas Secundarias de FSGS
Además de las causas primarias, existen múltiples factores que pueden contribuir al desarrollo de FSGS como una enfermedad secundaria, es decir, como resultado de otras condiciones subyacentes. Algunas de las causas secundarias más comunes incluyen:
Sobrecarga renal: Condiciones que obligan a los riñones a trabajar en exceso, como la hipertensión crónica o la insuficiencia renal, pueden generar una sobrecarga de filtración, lo que daña a los podocitos y provoca FSGS.
Obesidad: La obesidad está asociada con alteraciones metabólicas que pueden aumentar la carga de trabajo de los riñones y desencadenar procesos de daño en los glomérulos, incluidos los podocitos.
Reflujo urinario crónico: El reflujo urinario puede generar una irritación crónica de los riñones, favoreciendo la aparición de FSGS.
Infecciones virales, como el VIH o el SARS-CoV-2: Ambas infecciones han demostrado tener efectos nefrotóxicos, capaces de dañar los podocitos y contribuir al desarrollo de FSGS en algunos pacientes.
Exposición a analgésicos o bisfosfonatos: El uso prolongado de ciertos medicamentos, como analgésicos no esteroides o bisfosfonatos, ha sido asociado con un mayor riesgo de daño renal y el desarrollo de FSGS.
En los últimos años, el diagnóstico de FSGS ha avanzado significativamente gracias al uso de técnicas de biología molecular, como las pruebas genéticas, que permiten identificar mutaciones en los genes relacionados con las proteínas del podocito. Esto es particularmente relevante en la población pediátrica, donde el diagnóstico temprano y preciso es esencial para establecer un tratamiento adecuado. De esta manera, las pruebas genéticas se están convirtiendo en una herramienta clave para comprender la causa subyacente de la FSGS y para guiar el tratamiento, especialmente en los casos primarios de la enfermedad.
Manifestaciones clínicas
La glomeruloesclerosis segmentaria focal es una enfermedad renal que puede presentar una disminución del filtrado glomerular en un 25–50% de los pacientes en el momento del diagnóstico. Este hallazgo es un indicio de la severidad del daño renal, ya que el filtrado glomerular es un indicador clave de la función renal. La reducción del filtrado glomerular refleja la pérdida de la capacidad de los riñones para filtrar la sangre de manera eficiente, lo que puede derivar en insuficiencia renal si no se maneja adecuadamente. Sin embargo, la disminución del filtrado glomerular no es universal en todos los pacientes con glomeruloesclerosis segmentaria focal y varía en función del tipo de enfermedad, la extensión del daño y la respuesta al tratamiento.
Un hallazgo clínico común en algunos pacientes con glomeruloesclerosis segmentaria focal es el síndrome nefrótico, un conjunto de síntomas que incluye la presencia de proteínas en la orina en grandes cantidades, bajos niveles de albúmina en la sangre, hinchazón y alteraciones en los niveles de lípidos. Este síndrome es más frecuente en pacientes con glomeruloesclerosis segmentaria focal que tienen un trastorno genético subyacente o en aquellos en los que se sospecha la presencia de un factor de permeabilidad circulante, aún no identificado, que contribuye al daño de los podocitos. El síndrome nefrótico es relativamente infrecuente en los casos de glomeruloesclerosis segmentaria focal secundaria a otras condiciones, como la hipertensión o la obesidad, así como en aquellos casos asociados con variantes del gen APOL1, que afectan predominantemente a personas de ascendencia sub-sahariana africana.
Exámenes diagnósticos
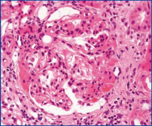
El diagnóstico de la glomeruloesclerosis segmentaria focal requiere, de manera casi universal, una biopsia renal, ya que los hallazgos clínicos y de laboratorio por sí solos no son suficientes para confirmar la enfermedad. La biopsia permite obtener una muestra de tejido renal que puede ser evaluada bajo el microscopio, lo que proporciona información crucial sobre el patrón de daño y las características morfológicas de los glomérulos. En la glomeruloesclerosis segmentaria focal, el análisis mediante microscopía óptica revela la esclerosis segmentaria de algunos glomérulos, es decir, la cicatrización localizada en segmentos de los glomérulos, pero no en todos los glomérulos de la muestra, lo que es característico de esta enfermedad.
Cuando se realiza una inmunofluorescencia sobre el tejido renal, se observa la presencia de inmunoglobulina M y complemento C3 en las lesiones escleróticas. Sin embargo, se asume que estos componentes inmunitarios están simplemente atrapados en los glomérulos escleróticos debido a la alteración de la barrera de filtración, y no se consideran directamente patogénicos en el desarrollo de la enfermedad. Es decir, aunque estos componentes son detectados en los glomérulos dañados, no juegan un papel activo en la causación del daño renal, sino que reflejan una respuesta secundaria a la alteración estructural de los glomérulos.
En cuanto a la microscopía electrónica, los hallazgos en la glomeruloesclerosis segmentaria focal son similares a los observados en la enfermedad de cambio mínimo, otra patología glomerular. La característica principal es el borramiento de los procesos de los podocitos, que se refiere a la pérdida de la estructura normal de estas células especializadas, responsables de mantener la barrera de filtración glomerular. El borramiento de los procesos de los podocitos es una manifestación clave de la disfunción de estos y contribuye a la pérdida de proteínas en la orina, característica del síndrome nefrótico.
Tratamiento
El tratamiento para todas las formas de glomeruloesclerosis segmentaria focal incluye varios enfoques destinados a controlar los principales factores que contribuyen al daño renal y a mejorar los síntomas asociados con la enfermedad. El tratamiento estándar comienza con el uso de inhibidores de la enzima convertidora de angiotensina, bloqueadores de los receptores de angiotensina o antagonistas de los receptores mineralocorticoides. Estos medicamentos son esenciales para controlar la proteinuria (presencia excesiva de proteínas en la orina) y la hipertensión, dos manifestaciones comunes de la glomeruloesclerosis segmentaria focal. Además, en pacientes con niveles elevados de lípidos en la sangre, se recomienda el uso de estatinas para reducir el colesterol y otras grasas, lo que puede ayudar a minimizar el riesgo cardiovascular asociado.
En aquellos pacientes que no están recibiendo tratamiento inmunosupresor, los inhibidores de los cotransportadores de sodio-glucosa tipo 2 pueden ser considerados como una opción terapéutica. Estos medicamentos han demostrado ser efectivos en la reducción de la proteinuria y en la protección renal, especialmente en pacientes con diabetes o aquellos con insuficiencia renal crónica. Sin embargo, el uso de estos medicamentos debe evaluarse cuidadosamente, particularmente en individuos con una función renal deteriorada.
La inmunosupresión es una parte integral del tratamiento en pacientes con síndrome nefrótico, ya que su presencia sugiere una forma primaria de glomeruloesclerosis segmentaria focal. El tratamiento inmunosupresor comúnmente recomendado es la prednisona oral, administrada a una dosis de 1 miligramo por kilogramo de peso corporal al día, durante un período de 4 a 16 semanas, seguido de una reducción gradual de la dosis. Este enfoque tiene como objetivo reducir la inflamación y la respuesta inmune anormal que contribuye al daño de los podocitos y la alteración de la barrera de filtración glomerular.
En pacientes que no responden a la prednisona o que no pueden tolerar este medicamento debido a efectos secundarios, existen alternativas terapéuticas. Los inhibidores de la calcineurina, como la ciclosporina o el tacrolimus, pueden ser utilizados para suprimir la respuesta inmunitaria. Otras opciones incluyen el rituximab, un anticuerpo monoclonal que depleciona las células B, y el micofenolato mofetil, que inhibe la proliferación celular. Estos tratamientos pueden ser eficaces en pacientes con glomeruloesclerosis segmentaria focal resistente a los esteroides o que tienen intolerancia a los mismos.
A pesar de la efectividad de los tratamientos inmunosupresores en algunos casos, el trasplante renal en pacientes con glomeruloesclerosis segmentaria focal sigue siendo un desafío. En particular, los pacientes que han experimentado una recaída de la enfermedad o que tienen un riesgo elevado de pérdida del injerto renal debido a la recurrencia de la glomeruloesclerosis segmentaria focal representan un grupo difícil de manejar. La tasa de recaída en los trasplantes de riñón en estos pacientes es relativamente alta, lo que complica los resultados a largo plazo y puede conducir a la pérdida del injerto renal.
Es importante señalar que los pacientes con glomeruloesclerosis segmentaria focal asociada con variantes del gen APOL1 o aquellos con formas hereditarias primarias de la enfermedad no parecen beneficiarse de la inmunosupresión. En estos casos, la inmunosupresión no mejora el pronóstico renal y podría no ser una estrategia terapéutica efectiva. En estos pacientes, el enfoque del tratamiento debe centrarse en el control de la enfermedad y en la prevención de complicaciones, pero la inmunosupresión no juega un papel significativo en su manejo.
Por otro lado, en pacientes con glomeruloesclerosis segmentaria focal secundaria, el tratamiento inmunosupresor no es eficaz. En estos casos, el tratamiento debe orientarse a abordar la causa subyacente de la enfermedad. Por ejemplo, si la glomeruloesclerosis segmentaria focal es secundaria a hipertensión, obesidad o infecciones virales, el control adecuado de estos factores puede ser más importante que el tratamiento inmunosupresor. En algunos casos, el tratamiento de la causa subyacente puede llevar a una mejoría en la función renal y la reducción de la proteinuria.

Fuente y lecturas recomendadas:
- Egbuna O et al. Inaxaplin for proteinuric kidney disease in persons with two APOL1 variants. N Engl J Med. 2023;388:969. [PMID: 36920755]
- Gipson DS et al. Comparing kidney health outcomes in children, adolescents, and adults with focal segmental glomerulosclerosis. JAMA Netw Open. 2022;5:e2228701. [PMID: 36006643]
- Hodson EM et al. Interventions for focal segmental glomerulosclerosis in adults. Cochrane Database Syst Rev. 2022;2: CD003233. [PMID: 35224732]

