La colitis microscópica es una enfermedad inflamatoria crónica del colon que se caracteriza por la presencia de diarrea acuosa persistente o intermitente, sin evidencias claras de anormalidades en la mucosa observables mediante endoscopia convencional. Su diagnóstico es fundamentalmente histológico, es decir, se confirma mediante el análisis de biopsias de la mucosa intestinal, donde se observan alteraciones celulares típicas que no son detectables durante los procedimientos endoscópicos rutinarios. Es una afección idiopática, lo que significa que su causa exacta es desconocida, y representa hasta un 15% de los casos de diarrea crónica en los cuales la mucosa intestinal aparece aparentemente normal durante la endoscopia.
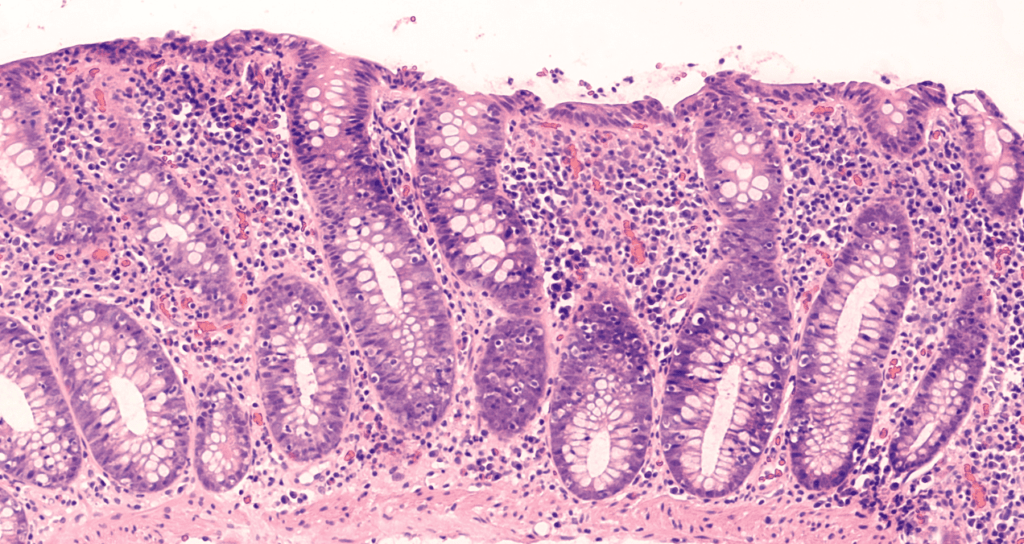
Existen dos subtipos principales de colitis microscópica: la colitis colagenosa y la colitis linfocítica. Ambas formas comparten características histológicas similares, que incluyen una inflamación crónica en la lámina propia del intestino, con la presencia de linfocitos y células plasmáticas, así como un aumento en el número de linfocitos intraepiteliales, lo cual indica una alteración en la respuesta inmunitaria a nivel local. No obstante, cada subtipo presenta una característica distintiva que permite diferenciarlos.
En la colitis colagenosa, la alteración más característica es la presencia de una banda de colágeno engrosada en la capa subepitelial, que tiene un grosor mayor a 10 micrómetros. Este engrosamiento del colágeno parece ser un marcador patognomónico de esta variante de la enfermedad. En contraste, en la colitis linfocítica, el hallazgo principal es el aumento de linfocitos intraepiteliales, sin la presencia de un engrosamiento subepitelial de colágeno, lo que diferencia esta forma de la colitis colagenosa.
Ambos subtipos son más comunes en mujeres, particularmente entre la quinta y sexta décadas de vida, lo que sugiere que factores hormonales o genéticos pueden desempeñar un papel en la susceptibilidad a desarrollar esta enfermedad. Los síntomas de la colitis microscópica suelen ser crónicos o recurrentes, y la mayoría de los pacientes experimentan remisión parcial o total de los síntomas después de varios años. Sin embargo, en algunos pacientes, la enfermedad puede presentar un curso más grave, con síntomas intensificados como dolor abdominal, fatiga, deshidratación y pérdida de peso, lo cual puede afectar significativamente la calidad de vida.
La causa subyacente de la colitis microscópica sigue siendo incierta, pero se postulan varias teorías. Se ha sugerido que factores autoinmunitarios, infecciones previas, uso de medicamentos como los antiinflamatorios no esteroides y los inhibidores de la bomba de protones, y factores genéticos podrían influir en su desarrollo. Aunque el tratamiento se centra en el control de los síntomas, mediante el uso de fármacos antiinflamatorios, corticosteroides o medicamentos inmunosupresores, el manejo de esta enfermedad sigue siendo un reto, particularmente en los casos más graves o resistentes a los tratamientos convencionales.
En términos de pronóstico, la colitis microscópica tiende a seguir un curso benigno en la mayoría de los casos, con muchos pacientes experimentando una mejora espontánea o mediante tratamiento farmacológico. No obstante, en un subconjunto de pacientes, la enfermedad puede evolucionar hacia formas más complejas, con un impacto significativo en la salud general del paciente. En estos casos, se requiere un enfoque multidisciplinario para optimizar la gestión de los síntomas y prevenir complicaciones a largo plazo.
Etiología
La colitis microscópica es una enfermedad en la que, en la mayoría de los casos, la causa subyacente permanece desconocida, lo que hace que su diagnóstico y tratamiento sean particularmente desafiantes. Aunque se desconoce la etiología precisa de esta condición, varios factores han sido implicados como posibles desencadenantes o contribuyentes a su aparición. Entre estos, los medicamentos desempeñan un papel importante, ya que se ha observado una asociación temporal entre el inicio de la colitis microscópica y el uso de determinados fármacos. Esta relación sugiere que ciertos medicamentos pueden inducir o agravar la inflamación en la mucosa intestinal, desencadenando así la enfermedad en individuos susceptibles.
Dentro de los medicamentos que se han implicado como agentes etiológicos en la colitis microscópica se encuentran los antiinflamatorios no esteroides (AINEs), que son conocidos por su capacidad para inducir daño en el tracto gastrointestinal. Los AINEs actúan inhibiendo las enzimas ciclooxigenasas, responsables de la producción de prostaglandinas, lo que reduce la protección de la mucosa intestinal frente a agentes agresores, y podría contribuir a la inflamación crónica en la mucosa intestinal, característica de esta enfermedad. Asimismo, los inhibidores de la bomba de protones (IBP), que son fármacos comúnmente utilizados para tratar trastornos relacionados con el exceso de ácido gástrico, también se han asociado con el desarrollo de colitis microscópica. Aunque los mecanismos precisos por los cuales los IBP pueden inducir esta afección no están completamente aclarados, se ha sugerido que podrían alterar la microbiota intestinal o modificar el pH gástrico, creando un ambiente propicio para la inflamación intestinal.
Otro grupo de fármacos que ha sido relacionado con la colitis microscópica incluye la aspirina a baja dosis, utilizada comúnmente para la prevención de eventos cardiovasculares. Al igual que los AINEs, la aspirina tiene efectos antiinflamatorios que, en algunos casos, pueden desencadenar un proceso inflamatorio crónico en la mucosa del colon, sobre todo cuando se utiliza a largo plazo. Asimismo, los inhibidores selectivos de la recaptación de serotonina (ISRS), que son fármacos utilizados principalmente para tratar trastornos psiquiátricos como la depresión y la ansiedad, también se han asociado con el desarrollo de esta enfermedad, posiblemente debido a su impacto en la motilidad intestinal y en la función de la serotonina, un neurotransmisor clave en el tracto gastrointestinal.
Los inhibidores de la enzima convertidora de angiotensina (IECA), fármacos utilizados en el tratamiento de la hipertensión y las enfermedades cardiovasculares, y los betabloqueantes, que son utilizados en el manejo de enfermedades cardíacas y de la presión arterial, también se han implicado en el desarrollo de colitis microscópica. Aunque el mecanismo exacto no está completamente esclarecido, se ha sugerido que estos fármacos podrían influir en el sistema inmunológico o en la función del epitelio intestinal, promoviendo un entorno inflamatorio en el colon. Además, la terapia hormonal con estrógenos en mujeres postmenopáusicas ha sido identificada como un factor de riesgo potencial para el desarrollo de colitis microscópica, lo que sugiere que las hormonas sexuales pueden desempeñar un papel en la regulación de la inflamación intestinal.
Una característica importante en la evaluación de los pacientes con colitis microscópica es la identificación de cualquier medicamento potencialmente implicado en la enfermedad. En muchos casos, la diarrea y otros síntomas intestinales tienden a disminuir dentro de los 30 días posteriores a la suspensión del medicamento causal, lo que proporciona una pista significativa para el diagnóstico y manejo de la enfermedad. Sin embargo, aunque la suspensión de estos medicamentos puede aliviar los síntomas en algunos pacientes, no todos los casos de colitis microscópica están relacionados con el uso de fármacos, y la causa de la enfermedad puede no ser atribuible a un medicamento en particular.
Además de los factores farmacológicos, la enfermedad celíaca también debe ser considerada en el diagnóstico diferencial de la colitis microscópica. Se estima que entre el 2% y el 9% de los pacientes con colitis microscópica pueden presentar enfermedad celíaca concomitante. La enfermedad celíaca es una afección autoinmune en la que la exposición al gluten provoca daño en la mucosa intestinal, lo que puede generar síntomas similares a los de la colitis microscópica, como la diarrea crónica. Dado que ambas enfermedades pueden compartir algunos síntomas y hallazgos histológicos, es esencial excluir la enfermedad celíaca mediante pruebas serológicas, como la medición de los anticuerpos IgA anti-transglutaminasa, para asegurar un diagnóstico adecuado y evitar confusiones en el tratamiento.
Tratamiento
El tratamiento de la colitis microscópica es en su mayoría empírico debido a la falta de ensayos clínicos bien diseñados y controlados que proporcionen una guía sólida para el manejo de la enfermedad. Esto se debe a que la colitis microscópica es una afección poco común, lo que limita la cantidad de estudios rigurosos realizados específicamente sobre las opciones terapéuticas. Por lo tanto, el enfoque terapéutico se basa en la experiencia clínica y la respuesta de los pacientes a los tratamientos disponibles, los cuales han demostrado ser eficaces en la mayoría de los casos, aunque con una variabilidad en la respuesta.
Para los pacientes con síntomas leves, el tratamiento inicial de elección es la terapia antidiarreica con loperamida. Este medicamento tiene como objetivo reducir la motilidad intestinal y, de este modo, disminuir la frecuencia de las deposiciones. La loperamida se ha mostrado eficaz en la mejora de los síntomas en hasta un 70% de los pacientes, proporcionando un alivio significativo de la diarrea. Sin embargo, es importante destacar que la loperamida solo alivia los síntomas y no aborda la inflamación subyacente de la mucosa intestinal, por lo que puede no ser suficiente para todos los pacientes, especialmente en aquellos con formas más graves de la enfermedad.
Cuando los síntomas son más intensos o persistentes, el tratamiento de segunda línea es el budesonide de liberación retardada. Este corticosteroide, que actúa principalmente en el colon, tiene un perfil farmacocinético que minimiza la absorción sistémica y, por lo tanto, reduce los efectos secundarios típicos de los corticosteroides convencionales. La dosis habitual de budesonide para el tratamiento de la colitis microscópica es de 9 mg diarios durante un período de 6 a 8 semanas. Esta terapia induce remisión clínica en más del 80% de los pacientes, lo que implica una reducción significativa de los síntomas y la inflamación de la mucosa intestinal. Sin embargo, es importante señalar que, aunque el budesonide puede inducir una mejoría clínica considerable, los síntomas tienden a recaer en aproximadamente dos tercios de los pacientes una vez que se suspende el tratamiento, lo que indica que la enfermedad tiene una tendencia a recurrir.
En la práctica clínica, para minimizar los riesgos de recaída y optimizar el manejo a largo plazo, el budesonide se reduce gradualmente a la dosis mínima efectiva una vez que se ha logrado el control de los síntomas. Esta reducción puede implicar la disminución de la dosis a 3 mg cada dos días o la administración de 6 mg diarios, dependiendo de la respuesta clínica del paciente. El tratamiento a largo plazo con dosis bajas de budesonide ha demostrado que alrededor del 75% de los pacientes pueden mantener la remisión, lo que sugiere que el control adecuado de la dosis puede contribuir a la estabilidad clínica sin los efectos adversos típicos de los corticosteroides a dosis más altas.
Para aquellos pacientes que no responden adecuadamente al tratamiento con budesonide, existen otras opciones terapéuticas, aunque la evidencia sobre su eficacia es menos sólida, dado que se basan principalmente en estudios no controlados. Entre estas alternativas se encuentran los agentes que unen las sales biliares, como la colestiramina y el colestipol. Estos medicamentos actúan disminuyendo la concentración de ácidos biliares en el intestino, lo que puede reducir la inflamación intestinal en algunos pacientes. Aunque los estudios en este ámbito son limitados, algunos informes no controlados sugieren que los agentes que unen las sales biliares pueden ser efectivos en el manejo de la colitis microscópica, especialmente en aquellos casos en los que el tratamiento con budesonide no ha dado los resultados esperados.
Otra opción terapéutica es el uso de 5-aminosalicilatos, como la sulfasalazina o la mesalazina. Estos medicamentos tienen propiedades antiinflamatorias y se utilizan comúnmente en el tratamiento de enfermedades inflamatorias intestinales, como la colitis ulcerosa. Aunque su efectividad en la colitis microscópica no ha sido ampliamente confirmada en estudios controlados, algunos informes de práctica clínica sugieren que pueden ser beneficiosos en algunos pacientes.
En un pequeño porcentaje de pacientes, menos del 3%, los síntomas pueden ser refractarios al tratamiento convencional o ser particularmente graves, lo que requiere el uso de terapias más agresivas. En estos casos, los agentes inmunosupresores, como la azatioprina o el metotrexato, pueden ser considerados. Estos medicamentos actúan suprimendo la respuesta inmunitaria, lo que reduce la inflamación crónica en la mucosa intestinal. Sin embargo, su uso debe ser cuidadosamente monitorizado debido a los riesgos asociados con la inmunosupresión, como infecciones o efectos tóxicos a largo plazo.
Otra opción para los casos refractarios es el tratamiento con agentes biológicos que bloquean el factor de necrosis tumoral (anti-TNF), como el infliximab o el adalimumab. Estos fármacos actúan inhibiendo la acción del TNF, una proteína involucrada en los procesos inflamatorios. Aunque los estudios sobre el uso de anti-TNF en la colitis microscópica son limitados, algunos informes sugieren que estos tratamientos pueden ser efectivos en pacientes con enfermedad grave y refractaria.

Fuente y lecturas recomendadas:
- Tome J et al. Budesonide maintenance in microscopic colitis: clinical outcomes and safety profile from a population-based study. Am J Gastroenterol. 2022;117:1311. [PMID: 35417427]
- Zhang SW et al. Drug exposure and risk of microscopic colitis: a systematic review and meta-analysis. Dig Dis. 2023;41:217. [PMID: 36067746]

