El cáncer de mama bilateral, definido como la presencia de tumores malignos en ambas mamas, es un fenómeno relativamente raro, representando menos del 5% de todos los casos de cáncer de mama. Esta condición puede presentarse en forma sincrónica, cuando ambos tumores se diagnostican simultáneamente, o metacrónica, cuando el cáncer se desarrolla en la segunda mama años después del diagnóstico inicial. Sin embargo, a pesar de su baja frecuencia inicial, se observa que entre un 20 y un 25% de las mujeres que han sido diagnosticadas con cáncer de mama en una mama tienen una probabilidad de desarrollar cáncer en la segunda mama en el futuro, en un momento posterior al diagnóstico inicial.
Varios factores influyen en la incidencia del cáncer de mama bilateral. En primer lugar, se ha demostrado que el cáncer bilateral es más común en mujeres con antecedentes familiares de la enfermedad. Las mujeres que tienen familiares cercanos que han padecido cáncer de mama, especialmente en situaciones donde la mutación genética hereditaria está presente, tienen un riesgo más elevado de desarrollar tumores bilaterales. Este riesgo también es más pronunciado en mujeres menores de 50 años, lo que indica una asociación entre la juventud y la predisposición genética a desarrollar cáncer de mama bilateral.
La bilateralidad en estos casos se asocia particularmente con mutaciones deletéreas en genes como BRCA1 y BRCA2, que son conocidos por predisponer a las mujeres a un mayor riesgo de desarrollar cáncer de mama y otros tipos de cáncer. La presencia de estas mutaciones genéticas aumenta significativamente la probabilidad de desarrollar cáncer en ambas mamas, ya que las mujeres portadoras de estas mutaciones tienen una mayor vulnerabilidad al desarrollo de tumores en tejidos mamarios bilaterales.
El riesgo de desarrollar un cáncer en la segunda mama aumenta con el paso del tiempo desde el diagnóstico inicial, lo que se traduce en una tasa de incidencia de aproximadamente un 1-2% anual. Este fenómeno refleja la capacidad del cáncer de mama de recidivar o de originar nuevos tumores en la mama contralateral a medida que la paciente sobrevive más tiempo tras el diagnóstico del primer cáncer. Así, a medida que las pacientes viven más tiempo después del tratamiento inicial, aumenta la probabilidad de que desarrollen un nuevo cáncer en la otra mama.
El uso de terapias adyuvantes como el tamoxifeno o los inhibidores de la aromatasa ha demostrado tener un efecto protector en la reducción del riesgo de desarrollar cáncer contralateral, particularmente en tumores que son receptores hormonales positivos. Estos tratamientos farmacológicos actúan bloqueando la acción de los estrógenos, hormonas que pueden estimular el crecimiento de células tumorales en mamas que son sensibles a ellas. Al reducir la estimulación hormonal, estos medicamentos disminuyen la probabilidad de que un tumor se desarrolle en la mama contralateral.
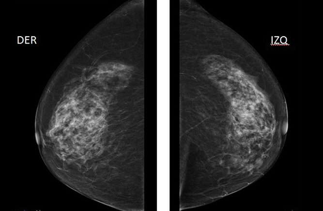
Dado que el cáncer de mama bilateral puede ser un desafío diagnóstico, es crucial que las mujeres que han sido diagnosticadas con cáncer de mama realicen un seguimiento regular para detectar cualquier cáncer oculto en la mama contralateral o en la mama ipsilateral, si ha sido conservada. La mamografía es la herramienta más comúnmente utilizada en estos casos, y debe realizarse antes de iniciar cualquier tratamiento primario para asegurar que no haya un cáncer no detectado en la mama contralateral. Posteriormente, las mamografías deben continuar a intervalos regulares, ya que el riesgo de desarrollar un cáncer en la segunda mama persiste con el tiempo. Este seguimiento regular es esencial para detectar tumores en sus etapas más tempranas y mejorar las perspectivas de tratamiento y supervivencia.

Fuente y lecturas recomendadas:
- Goldman, L., & Schafer, A. I. (Eds.). (2020). Goldman-Cecil Medicine (26th ed.). Elsevier.
- Loscalzo, J., Fauci, A. S., Kasper, D. L., Hauser, S. L., Longo, D. L., & Jameson, J. L. (Eds.). (2022). Harrison. Principios de medicina interna (21.ª ed.). McGraw-Hill Education.
- Papadakis, M. A., McPhee, S. J., Rabow, M. W., & McQuaid, K. R. (Eds.). (2024). Diagnóstico clínico y tratamiento 2025. McGraw Hill.
- Rozman, C., & Cardellach López, F. (Eds.). (2024). Medicina interna (20.ª ed.). Elsevier España.

