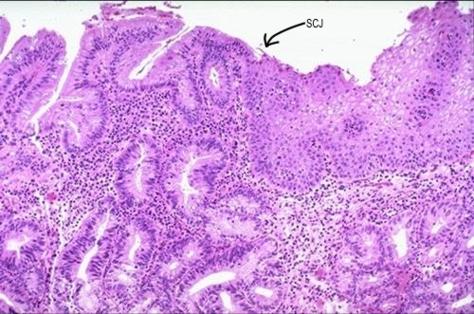
La unión escamocolumnar del cuello uterino es un área anatómica de gran importancia en el cuerpo de la mujer, y entender por qué se convierte en un sitio activo de proliferación de células epidermoides implica explorar los cambios que ocurren a lo largo de su vida.
En la infancia, esta unión se localiza en la porción del cuello uterino que está en contacto con la vagina. En esta etapa, el cuello uterino aún no ha alcanzado su madurez completa, y su revestimiento es similar al de la vagina, compuesto principalmente por células escamosas. Esto se debe a la influencia de las hormonas maternas durante el desarrollo fetal y la exposición al ambiente vaginal.
Sin embargo, en la pubertad, una serie de cambios hormonales desencadenados por la producción de estrógeno y progesterona marcan un nuevo capítulo en la evolución de esta unión. Estos cambios son cruciales para comprender por qué se convierte en una zona de metaplasia activa:
- Influencia hormonal: La pubertad es el momento en que el cuerpo de una niña comienza a producir hormonas sexuales. El estrógeno, en particular, juega un papel central en el desarrollo de los caracteres sexuales secundarios y en la maduración de los órganos reproductores, incluido el cuello uterino.
- Cambios en el pH vaginal: Durante la pubertad, el pH de la vagina tiende a volverse más ácido, en parte debido a la presencia de bacterias llamadas lactobacilos que producen ácido láctico. Este cambio en el pH puede influir en el tejido del cuello uterino y desencadenar procesos de transformación.
- Metaplasia: La metaplasia es un proceso biológico en el que un tipo de tejido se convierte en otro tipo de tejido. En el caso de la unión escamocolumnar, el tejido escamoso que la recubre comienza a transformarse y a incrustarse en el tejido columnar que lo rodea. Esto se debe a la respuesta del cuello uterino a los cambios hormonales y al pH vaginal ácido.
- Formación de la zona de transformación: Como resultado de la metaplasia, se crea una zona especial conocida como «zona de transformación». Esta área es crucial desde una perspectiva de salud cervical, ya que es donde suelen ocurrir los cambios precancerosos y cancerosos del cuello uterino. Por esta razón, se le presta una atención especial en la detección temprana del cáncer de cuello uterino a través de pruebas como el Papanicolaou.
En resumen, la unión escamocolumnar del cuello uterino se convierte en una zona de proliferación activa de células epidermoides debido a la influencia hormonal de la pubertad, los cambios en el pH vaginal y el proceso de metaplasia que se desencadena. Su comprensión es esencial para la salud y la prevención del cáncer de cuello uterino en las mujeres.


