La Enfermedad de Erdheim-Chester (EEC) es una rara forma de histiocitosis que se caracteriza por su extraordinaria rareza, con menos de 1,000 casos documentados hasta la fecha y una incidencia y prevalencia aún por determinar con precisión. Este hecho se atribuye a varios elementos que convergen para hacer de la EEC una enfermedad excepcionalmente infrecuente.
Enfermedad de Erdheim-Chester
La enfermedad muestra una marcada preferencia por un grupo de edad específico, afectando predominantemente a adultos de entre 40 y 70 años, con una edad media al momento del diagnóstico de 53 años. Esta limitación en el rango de edades contribuye a la escasez de casos, ya que no afecta a todas las cohortes de edad por igual.
Aunque es posible que la enfermedad de Erdheim-Chester se manifieste en niños y lactantes, esta eventualidad es excepcionalmente rara, agregando otra capa a la infrecuencia de la enfermedad. La prevalencia disminuida en este grupo demográfico amplía la brecha entre la EEC y otras condiciones médicas más comunes en la infancia.
La desproporción de género también desempeña un papel significativo en la rareza de la enfermedad de Erdheim-Chester. Con una razón de incidencia que favorece considerablemente a los hombres en comparación con las mujeres, casi en una proporción de 3:1, la enfermedad se presenta de manera notablemente diferente en ambos sexos. Esta disparidad contribuye a la rareza general de la enfermedad en la población.
Además, los desafíos en el diagnóstico de la enfermedad de Erdheim-Chester añaden otra capa de complejidad a su reconocimiento. Compartiendo síntomas con diversas condiciones y afectando varios sistemas del cuerpo, la enfermedad puede ser pasada por alto o diagnosticada incorrectamente. La falta de conciencia entre los profesionales médicos sobre esta patología también puede contribuir a la subestimación de su incidencia.
Fisiopatología
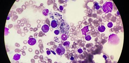
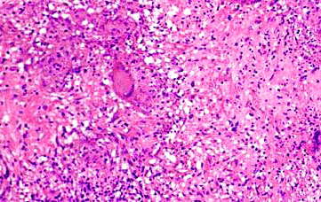
El examen histopatológico de las lesiones en la Enfermedad de Erdheim-Chester revela características distintivas que ofrecen información crucial sobre la naturaleza y el origen de la enfermedad. Estas observaciones profundizan en la comprensión de la EEC y su relación con otras patologías.
Las lesiones en la enfermedad de Erdheim-Chester muestran histiocitos mononucleares espumosos, que son células características de esta enfermedad. Estos histiocitos suelen ir acompañados de fibrosis e inflamación que afecta a diversas células del sistema inmunológico, incluyendo linfocitos, neutrófilos o células plasmáticas. Además, se pueden observar ocasionalmente células gigantes mononucleadas en el tejido afectado.
La identificación de los histiocitos en las lesiones de EEC es respaldada por su tinción positiva para marcadores específicos, como CD68 y CD163, pero negativa para CD1a. Esta observación es crucial porque sugiere que los histiocitos en la EEC derivan del linaje monocitos-macrófagos. Esta información es valiosa para diferenciar la EEC de otras enfermedades, como la Histiocitosis de células de Langerhans (HCL), que se caracteriza por histiocitos CD1a-positivos.
A pesar de estas diferencias distintivas, se presenta una complejidad adicional, ya que aproximadamente el 20% de los pacientes con EEC también muestran lesiones de HCL concurrentes. Esta coexistencia subraya la complejidad de las enfermedades hematológicas y destaca la necesidad de un diagnóstico cuidadoso y diferencial.
En el ámbito genético, se han identificado mutaciones específicas en un subconjunto significativo de pacientes con EEC. Alrededor del 50% de los pacientes muestran mutaciones somáticas que codifican para BRAF V600E, una alteración genética asociada a la activación de la vía MAPK. Además, otros pacientes presentan variantes genéticas que activan la misma vía, incluyendo mutaciones en MAP2K1, ARAF, KRAS y NRAS, así como fusiones génicas que activan los genes BRAF, ALK y NTRK.
Se ha observado también la presencia de mutaciones en PIK3CA, que pueden coexistir con las mutaciones en BRAF. Estas alteraciones genéticas proporcionan insights adicionales sobre las vías de señalización afectadas en la EEC, contribuyendo así a una comprensión más completa de la base molecular de la enfermedad. En resumen, la combinación de características histopatológicas y genéticas ofrece una visión integral de la complejidad de la Enfermedad de Erdheim-Chester.
Manifestaciones clínicas
La infiltración histiocítica del hueso en la Enfermedad de Erdheim-Chester (EEC) constituye un aspecto distintivo de la enfermedad y se manifiesta de diversas maneras, lo cual contribuye a la complejidad de su presentación clínica.
Es importante destacar que la infiltración histiocítica afecta a casi todos los pacientes con EEC. Este proceso se caracteriza por una esclerosis cortical simétrica que se desarrolla en las áreas diafisarias y metafisarias de los huesos largos, siendo más común en las extremidades inferiores. La simetría en la distribución de la esclerosis cortical es un rasgo distintivo que puede observarse radiográficamente y constituye un marcador clave para el diagnóstico de la EEC.
Los pacientes afectados pueden experimentar síntomas como dolor yuxtaarticular leve. Es interesante notar que, a pesar de la presencia de esta infiltración y esclerosis en las imágenes radiográficas, algunos pacientes pueden ser asintomáticos. Esta variabilidad en la sintomatología resalta la heterogeneidad de la presentación clínica de la EEC y la necesidad de un enfoque cuidadoso en la evaluación de los pacientes.
Además de la afectación en los huesos largos, se registra osteoesclerosis en los huesos faciales o del cráneo. Esta característica amplía el espectro de la afectación ósea en la EEC y puede contribuir a la diversidad de síntomas y manifestaciones clínicas observadas en los pacientes.
La utilidad de técnicas de imagen avanzadas como la tomografía computarizada (TC) o la resonancia magnética (RM) se destaca en el diagnóstico de la EEC. Estas modalidades son esenciales para detectar lesiones que podrían no ser identificadas en radiografías simples. La capacidad de estas técnicas para proporcionar imágenes más detalladas y específicas facilita la evaluación de la extensión y la naturaleza de las lesiones óseas, lo que contribuye a una caracterización más precisa de la enfermedad.
La Enfermedad de Erdheim-Chester exhibe una variada y compleja afectación sistémica, y la participación cardiovascular constituye una faceta crítica que contribuye significativamente a la morbilidad y mortalidad de los pacientes.

La fibrosis que afecta al sistema cardiovascular se manifiesta de diversas maneras, siendo las anomalías valvulares, los defectos de la conducción y el revestimiento periaórtico algunos de los aspectos clínicos observados con mayor frecuencia. Estas alteraciones pueden llevar a complicaciones graves y representan una de las principales causas de morbimortalidad en pacientes con EEC.
En adición a la afectación cardiovascular, se observa una fibrosis similar en el retroperitoneo, la cual rodea los riñones y puede generar una nefropatía obstructiva progresiva. Esta complicación añade una capa adicional de complejidad a la enfermedad y puede tener implicaciones significativas para la función renal.
La enfermedad pulmonar es otra manifestación común en la EEC, afectando aproximadamente al 50% de los pacientes. Esta puede comprometer la pleura, el parénquima o ambos. La afectación del sistema nervioso central (SNC) es también frecuente, afectando alrededor del 40% de los pacientes. Las lesiones en el hipotálamo y la hipófisis pueden dar lugar a la diabetes insípida, similar a lo observado en la Histiocitosis de células de Langerhans (HCL). La presencia de afectación del SNC se asocia con un peor pronóstico en la EEC.
Aunque la resonancia magnética (RM) puede no mostrar infiltración o masas en algunos casos, los pacientes pueden experimentar deterioro cognitivo y cambios conductuales. Estos síntomas se asocian, en algunos casos, a la pérdida de volumen de materia gris en el cerebro, subrayando la complejidad y diversidad de las manifestaciones neurológicas de la EEC.
La enfermedad cutánea, que afecta a aproximadamente el 25% de los pacientes, constituye otra faceta de la EEC. Esta afectación cutánea puede presentarse de diversas formas y añade a la heterogeneidad clínica de la enfermedad.


