La macroglobulinemia de Waldenström es un síndrome caracterizado por una hiperglobulinemia de inmunoglobulina M (IgM) que se desarrolla en el contexto de un linfoma no Hodgkin de bajo grado, conocido específicamente como linfoma linfoplasmocítico. Este linfoma es un tipo raro de cáncer hematológico que involucra a las células B, las cuales son responsables de la producción de anticuerpos en el organismo. Sin embargo, en este trastorno, las células B presentan características morfológicas inusuales, ya que tienen una apariencia híbrida, que combina las características de los linfocitos y las células plasmáticas.
Las células B involucradas en la macroglobulinemia de Waldenström tienen una capacidad anormal para secretar grandes cantidades de una forma anómala de la inmunoglobulina M, denominada paraproteína. Esta paraproteína es una forma de anticuerpo que se produce en exceso, y su presencia es una de las principales características del síndrome. La inmunoglobulina M es una clase de anticuerpo producida normalmente por el sistema inmunológico como respuesta a infecciones, pero en este caso, su exceso se debe a la proliferación descontrolada de las células B tumorales.
La relación entre la macroglobulina (la IgM paraproteica) y las manifestaciones clínicas de la enfermedad es fundamental para comprender cómo se presenta el trastorno. La IgM, al ser una molécula de gran tamaño, tiene una viscosidad elevada que puede interferir con el flujo sanguíneo, lo que da lugar a diversas complicaciones. La viscosidad de la sangre, conocida como síndrome de hiperviscosidad, puede afectar al sistema circulatorio, provocando problemas como sangrados, problemas neurológicos, fatiga y alteraciones en la visión, debido a la dificultad de la sangre para circular adecuadamente por los vasos pequeños.
Además, la producción excesiva de IgM puede llevar a la formación de complejos inmunes que se depositan en varios órganos, lo que puede desencadenar reacciones inflamatorias y daño tisular. Este depósito de inmunoglobulinas puede afectar órganos como los riñones, el corazón y los pulmones, provocando complicaciones adicionales como insuficiencia renal, cardiopatía o neumopatía.
El diagnóstico de la macroglobulinemia de Waldenström se basa en la identificación de la paraproteína IgM en suero, junto con el hallazgo de un linfoma linfoplasmocítico en la médula ósea o en los ganglios linfáticos, mediante técnicas como la biopsia. La clasificación de la enfermedad como linfoma de bajo grado implica que, aunque la proliferación de las células malignas es lenta, el pronóstico es variable y puede diferir significativamente entre los pacientes.
Manifestaciones clínicas
La macroglobulinemia de Waldenström se desarrolla de manera insidiosa, lo que significa que los síntomas suelen aparecer de forma gradual y sutil, lo que puede dificultar su diagnóstico temprano. Este proceso de desarrollo lento y progresivo es más común en pacientes de edad avanzada, generalmente en la sexta o séptima década de la vida. La enfermedad se caracteriza por una evolución crónica que no presenta síntomas agudos inmediatos, lo que permite que los pacientes vivan con la enfermedad durante un largo período antes de que se haga evidente.
Uno de los primeros y más comunes síntomas en los pacientes con macroglobulinemia de Waldenström es la fatiga, que generalmente se asocia con la presencia de anemia. La anemia ocurre debido a la infiltración de la médula ósea por las células malignas, lo que interfiere con la producción normal de glóbulos rojos. Esto provoca una disminución en la capacidad de transporte de oxígeno en la sangre, lo que a su vez causa cansancio, debilidad y falta de energía en los pacientes afectados.
La hiperviscosidad del suero, otro rasgo característico de la enfermedad, también juega un papel crucial en las manifestaciones clínicas. Debido al exceso de inmunoglobulina M, que es una molécula de gran tamaño, la sangre se vuelve más espesa y viscosa. Esta viscosidad elevada puede tener varias manifestaciones clínicas. Una de las más notables es el sangrado en las mucosas y en el tracto gastrointestinal, que ocurre como consecuencia de la dilatación de los vasos sanguíneos y de la disfunción plaquetaria. El exceso de inmunoglobulina M interfiere con la función normal de las plaquetas, dificultando su capacidad para formar coágulos, lo que aumenta la propensión a las hemorragias.
La hiperviscosidad también puede causar otros síntomas como náuseas, vértigo y alteraciones visuales. Estas manifestaciones son el resultado de la mala circulación en los vasos sanguíneos pequeños, particularmente en los ojos y el cerebro. La disminución del flujo sanguíneo adecuado a estos órganos puede causar problemas visuales, como visión borrosa o pérdida de visión temporal, así como síntomas neurológicos como mareos o confusión.
Otro síntoma relacionado con la hiperviscosidad es la alteración del estado de conciencia. Los pacientes pueden experimentar desde una leve letargia hasta un estado de estupor e incluso coma. Esto se debe a la dificultad del flujo sanguíneo en el cerebro, lo que limita el suministro de oxígeno y nutrientes a las células cerebrales, afectando así la función cognitiva.
Además de los síntomas mencionados, la paraproteína IgM también puede estar asociada con otras complicaciones, como la enfermedad de los aglutinantes fríos, que puede llevar a la hemólisis, es decir, la destrucción prematura de los glóbulos rojos. Este fenómeno ocurre cuando la IgM se une a los glóbulos rojos en temperaturas frías, causando su destrucción acelerada. Otra complicación es la neuropatía periférica crónica desmielinizante, que implica el daño a las fibras nerviosas periféricas, lo que provoca debilidad muscular, dolor y pérdida de sensibilidad en las extremidades.
En el examen físico, los hallazgos característicos de la enfermedad incluyen hepatomegalia (aumento del tamaño del hígado) y esplenomegalia (aumento del tamaño del bazo), que se deben a la infiltración de células malignas en estos órganos. La linfadenopatía, es decir, el agrandamiento de los ganglios linfáticos, también puede estar presente debido a la proliferación anómala de las células B en los ganglios. En los ojos, se puede observar la dilatación de las venas retinianas debido a la hiperviscosidad de la sangre. Además, los pacientes pueden presentar púrpura, que son manchas de color rojo o morado en la piel, causadas por pequeños sangrados en los vasos sanguíneos superficiales.
A pesar de la presencia de estas manifestaciones sistémicas, no se espera encontrar dolor óseo en los pacientes, lo que diferencia esta enfermedad de otros tipos de linfomas o mieloma múltiple, donde el dolor óseo es más frecuente.
Exámenes diagnósticos
La anemia en la macroglobulinemia de Waldenström es un hallazgo prácticamente universal entre los pacientes, y se asocia con varios mecanismos fisiopatológicos. En primer lugar, la expansión del volumen plasmático juega un papel importante, ya que el paraproteína (la inmunoglobulina M anómala) que se produce en exceso puede inducir un aumento significativo del volumen de plasma circulante, de hasta un 50-100%. Este aumento del volumen plasmático contribuye a la dilución de los glóbulos rojos, lo que provoca anemia. Además, la anemia en esta enfermedad también puede ser consecuencia de la infiltración de la médula ósea por las células plasmáticas malignas, que inhibe la producción normal de glóbulos rojos. A pesar de ello, los recuentos de otras células sanguíneas, como los glóbulos blancos y las plaquetas, suelen ser normales.
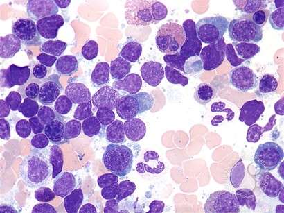
Un hallazgo característico en el frotis de sangre periférica de los pacientes con macroglobulinemia de Waldenström es la formación de rouleaux. Este fenómeno ocurre cuando los glóbulos rojos se agrupan en pilas o columnas, lo cual es una consecuencia de la presencia de la paraproteína en la circulación. Esta formación de rouleaux es común, pero los glóbulos rojos pueden aparecer aglutinados si el frotis de sangre se prepara a temperatura ambiente, ya que la paraproteína tiende a precipitarse a temperaturas más bajas, afectando la morfología de los glóbulos rojos.
En cuanto a la médula ósea, es característico que esté infiltrada por linfocitos plasmáticos, que son las células malignas responsables de la producción excesiva de inmunoglobulina M. Estas células son un híbrido de linfocitos y células plasmáticas, y su presencia en la médula ósea es un indicador importante de la enfermedad. En el frotis de sangre periférica, las células plasmáticas anormales pueden observarse en pequeños números, lo que puede ayudar en el diagnóstico de la enfermedad.
Además, la macroglobulinemia de Waldenström está asociada con una mutación genética específica. Más del 90% de los pacientes presentan una variante patogénica en el gen MYD88, concretamente la mutación L265P, que juega un papel crucial en la patogénesis de la enfermedad. Esta mutación afecta la señalización celular en las células B malignas, promoviendo su proliferación y supervivencia, lo que contribuye a la producción excesiva de la inmunoglobulina M.
Un hallazgo fundamental en el diagnóstico de la macroglobulinemia de Waldenström es la presencia de un pico monoclonal de inmunoglobulina M, que se observa en la electroforesis de proteínas en suero, en la región de la beta-globulina. Este pico monoclonal es indicativo de la producción anómala de una única clase de anticuerpo (la inmunoglobulina M) por las células malignas, y es un criterio diagnóstico clave en la enfermedad.
En relación con la viscosidad sanguínea, esta se encuentra generalmente aumentada en los pacientes con macroglobulinemia de Waldenström debido a la presencia de la paraproteína en el suero. Normalmente, la viscosidad del suero debe ser de 1.4 a 1.8 veces la viscosidad del agua, pero en los pacientes con macroglobulinemia, esta viscosidad suele estar aumentada. Los síntomas de hiperviscosidad, como problemas circulatorios, hemorragias y alteraciones neurológicas, generalmente se desarrollan cuando la viscosidad del suero supera cuatro veces la viscosidad del agua. Los síntomas más graves suelen presentarse cuando la viscosidad alcanza más de seis veces la viscosidad del agua. Es importante señalar que no existe una correlación estricta entre la concentración de paraproteína y la viscosidad del suero, ya que las paraproteínas varían en sus propiedades fisicoquímicas, lo que significa que una alta concentración de paraproteína no siempre se asocia con una viscosidad extremadamente alta.
La paraproteína IgM también puede dar lugar a un resultado positivo en la prueba de antiglobulina (prueba de Coombs) para complemento, lo que indica que la proteína puede activar el sistema del complemento. Además, la paraproteína IgM tiene propiedades de aglutinación fría, lo que puede causar hemólisis y también puede estar asociada con crioglobulinas, proteínas que se precipitan a bajas temperaturas y pueden causar daño a los vasos sanguíneos y otros órganos.
Si se sospecha de macroglobulinemia de Waldenström, pero la electroforesis de proteínas en suero muestra solo hipogammaglobulinemia (bajos niveles de inmunoglobulinas), el test debe repetirse tomando medidas especiales para mantener la sangre a una temperatura de 37°C, ya que la paraproteína puede precipitarse a temperatura ambiente y no ser detectada adecuadamente.
En cuanto a las radiografías óseas, en la macroglobulinemia de Waldenström no se observan hallazgos anormales, ya que la enfermedad no se caracteriza por lesiones óseas líticas o masas óseas, a diferencia de otros trastornos hematológicos como el mieloma múltiple. Asimismo, no se encuentra evidencia de daño renal significativo, lo que es otra característica distintiva de esta enfermedad frente a otras condiciones hematológicas que pueden provocar insuficiencia renal.
Diagnóstico diferencial
La macroglobulinemia de Waldenström se diferencia de otras condiciones hematológicas malignas mediante varios hallazgos distintivos en los estudios clínicos y de laboratorio, lo que permite una correcta identificación de la enfermedad y su diferenciación de trastornos similares como la gammopatía monoclonal de significado incierto, la leucemia linfocítica crónica y el mieloma múltiple.
Una de las principales diferencias entre la macroglobulinemia de Waldenström y la gammopatía monoclonal de significado incierto (MGUS) radica en la infiltración de la médula ósea por células malignas monoclonales. En la gammopatía monoclonal de significado incierto, se observa la presencia de una proteína monoclonal en suero, pero esta condición no está asociada con infiltración de la médula ósea por células malignas. En cambio, en la macroglobulinemia de Waldenström, la médula ósea está característicamente infiltrada por linfocitos plasmáticos malignos, que son las células anormales responsables de la producción excesiva de inmunoglobulina M. Esta infiltración de la médula ósea es un hallazgo diagnóstico crucial que permite diferenciar a la macroglobulinemia de Waldenström de MGUS, que carece de este tipo de infiltración celular.
La diferenciación de la macroglobulinemia de Waldenström de la leucemia linfocítica crónica (CLL) también se basa en varios aspectos clave. En primer lugar, la morfología de la médula ósea es distinta en ambas enfermedades. Mientras que la leucemia linfocítica crónica se caracteriza por la presencia de linfocitos pequeños y maduros en la médula ósea, en la macroglobulinemia de Waldenström se observa una infiltración por linfocitos plasmáticos, que son una población celular intermedia entre los linfocitos y las células plasmáticas. Además, la expresión del marcador CD5 es negativa en las células malignas de la macroglobulinemia de Waldenström, mientras que las células malignas en la leucemia linfocítica crónica suelen ser positivas para CD5. Otro aspecto distintivo es la ausencia de linfocitosis (aumento de linfocitos) en la macroglobulinemia de Waldenström, mientras que en la leucemia linfocítica crónica, los linfocitos circulantes suelen estar elevados. Estas diferencias en la morfología de la médula ósea, la expresión de marcadores celulares y el recuento de linfocitos en sangre periférica permiten una clara distinción entre ambas enfermedades.
Por otro lado, la macroglobulinemia de Waldenström también se distingue del mieloma múltiple, otro tipo de linfoma de células plasmáticas, mediante la morfología de la médula ósea y la identificación de la paraproteína característica de la enfermedad. En el mieloma múltiple, la médula ósea está infiltrada principalmente por células plasmáticas malignas, pero la proteína monoclonal secretada por estas células es de tipo inmunoglobulina G o A, no inmunoglobulina M, que es la que caracteriza a la macroglobulinemia de Waldenström. La presencia de la inmunoglobulina M (IgM) en el suero, detectada en la electroforesis de proteínas, es un criterio diagnóstico distintivo de la macroglobulinemia de Waldenström y no se observa en el mieloma múltiple. Además, mientras que el mieloma múltiple se asocia con lesiones óseas líticas (destrucción de hueso), la macroglobulinemia de Waldenström no presenta estas lesiones óseas, lo que constituye otra diferencia fundamental entre ambas patologías. La ausencia de enfermedad ósea lítica en la macroglobulinemia de Waldenström, junto con la presencia de la paraproteína IgM, distingue claramente a esta enfermedad del mieloma múltiple.
Tratamiento
El síndrome de hiperviscosidad marcado es una complicación grave de la macroglobulinemia de Waldenström y se manifiesta cuando la viscosidad de la sangre aumenta significativamente debido a la presencia de una gran cantidad de inmunoglobulina M en el suero. Este aumento de la viscosidad puede interferir con la circulación sanguínea normal, provocando una serie de síntomas graves, como estupor, coma y edema pulmonar, entre otros. Estos síntomas representan una emergencia médica, ya que la hiperviscosidad severa puede comprometer de manera crítica la función orgánica, particularmente en el sistema nervioso central y en los pulmones. En estos casos, el tratamiento debe ser inmediato, y la plasmapheresis se ha establecido como el tratamiento de elección para reducir rápidamente la viscosidad del suero. La plasmapheresis es un procedimiento que elimina las proteínas anormales, en este caso la inmunoglobulina M, del torrente sanguíneo, al mismo tiempo que se restaura la circulación sanguínea normal, mejorando así los síntomas de hiperviscosidad.
A largo plazo, algunos pacientes con macroglobulinemia de Waldenström pueden manejarse con plasmapheresis periódica como único tratamiento. Este enfoque se utiliza en aquellos que tienen síntomas persistentes de hiperviscosidad, pero que no requieren intervención urgente. Al reducir la concentración de paraproteína IgM en la sangre, la plasmapheresis ayuda a mantener la viscosidad en niveles controlables, evitando las complicaciones graves asociadas con la enfermedad.
En cuanto al tratamiento farmacológico, el rituximab, un anticuerpo monoclonal que actúa contra las células B malignas, ha demostrado tener una actividad significativa en el tratamiento de la macroglobulinemia de Waldenström, especialmente en pacientes con formas indolentes o de bajo grado de la enfermedad. La administración de rituximab se realiza a través de infusiones intravenosas, generalmente a una dosis de 375 mg por metro cuadrado de superficie corporal, administradas una vez por semana durante un periodo de 4 a 8 semanas. Sin embargo, es importante tener precaución, ya que en algunos pacientes, el nivel de inmunoglobulina M puede aumentar temporalmente después de la administración de rituximab antes de empezar a disminuir. Este aumento temporal de la paraproteína puede empeorar los síntomas de hiperviscosidad en pacientes que ya presentan síndrome de hiperviscosidad, por lo que se recomienda iniciar al mismo tiempo un agente citotóxico adicional para controlar la enfermedad de manera más efectiva.
Cuando la enfermedad está avanzada, la terapia combinada se recomienda para lograr mejores resultados terapéuticos. La adición de bendamustina, un agente quimioterapéutico, ha mostrado tasas de respuesta excelentes en estos pacientes, proporcionando una opción eficaz para el tratamiento de la macroglobulinemia de Waldenström avanzada. Además, los inhibidores de la tirosina quinasa de Brutón, como el ibrutinib y el zanubrutinib, han demostrado ser eficaces. El ibrutinib se administra oralmente a una dosis diaria de 420 mg, mientras que el zanubrutinib se toma dos veces al día a 160 mg. Ambos fármacos han mostrado una tasa de respuesta significativa de aproximadamente el 90%, con una tasa de respuesta mayor del 73%, lo que sugiere que estos tratamientos pueden inducir remisiones duraderas en los pacientes.
Además de estos tratamientos, los inhibidores del proteasoma, como el bortezomib y el carfilzomib, así como el inhibidor de Bcl-2, venetoclax, y el lenalidomida también han mostrado tener actividad en la macroglobulinemia de Waldenström. Estos fármacos actúan inhibiendo las vías que permiten la proliferación y supervivencia de las células malignas, y su uso puede ser particularmente útil en pacientes con enfermedad resistente o recurrente a otros tratamientos.
Finalmente, el trasplante autólogo de células madre hematopoyéticas, que consiste en la infusión de células madre del propio paciente después de un régimen de quimioterapia intensiva, se reserva para aquellos pacientes cuya enfermedad ha recaído o es refractaria a los tratamientos convencionales. Este enfoque puede ser una opción terapéutica importante en pacientes seleccionados, ya que tiene el potencial de ofrecer una remisión duradera o incluso una cura, aunque está reservado para aquellos con una enfermedad más agresiva o que no han respondido a otras terapias.
Pronóstico
La macroglobulinemia de Waldenström es una enfermedad hematológica rara que pertenece a un grupo de linfomas de bajo grado, específicamente el linfoma linfoplasmocítico. Esta condición se caracteriza por la proliferación anómala de linfocitos B, que en su estado patológico adoptan características híbridas entre linfocitos y células plasmáticas, y producen de manera descontrolada una inmunoglobulina monoclonal, principalmente de tipo M. Aunque esta enfermedad es considerada indolente, es decir, tiene un curso clínico generalmente lento y de progresión paulatina, su pronóstico depende de diversos factores, incluidos la respuesta al tratamiento, la presencia de complicaciones y las características individuales de cada paciente.
El hecho de que la macroglobulinemia de Waldenström sea clasificada como una enfermedad indolente se debe a su tendencia a progresar lentamente en la mayoría de los casos. En general, los pacientes experimentan una evolución prolongada de la enfermedad sin una rápida diseminación de las células malignas, lo que contrasta con los linfomas de alto grado o con otras neoplasias hematológicas que presentan un curso más agresivo. Sin embargo, este comportamiento de crecimiento lento no significa que la enfermedad no cause complicaciones graves, sino que las manifestaciones clínicas pueden ser más sutiles o aparecer de manera gradual, permitiendo que los pacientes vivan durante años sin un deterioro rápido de su salud.
En cuanto al pronóstico, la esperanza de vida media de los pacientes con macroglobulinemia de Waldenström es de aproximadamente 5 años. Este promedio de supervivencia está influenciado por varios factores, como la edad del paciente al momento del diagnóstico, la respuesta al tratamiento inicial, la presencia de complicaciones asociadas como el síndrome de hiperviscosidad, y la existencia de mutaciones genéticas específicas en las células tumorales. A pesar de su naturaleza indolente, la enfermedad puede ser crónica y recurrente, lo que significa que muchos pacientes experimentan remisiones temporales seguidas de recaídas.
En general, el tratamiento de la macroglobulinemia de Waldenström puede mejorar significativamente la calidad de vida de los pacientes y prolongar la supervivencia. Los pacientes que responden bien a los tratamientos, como los anticuerpos monoclonales o los inhibidores de tirosina quinasa, pueden vivir varios años sin una progresión significativa de la enfermedad. Sin embargo, los pacientes que no responden a las terapias o que desarrollan resistencia a los tratamientos pueden experimentar un curso más rápido de la enfermedad, lo que reduce su expectativa de vida.
A pesar de las dificultades que la enfermedad puede generar, un porcentaje significativo de pacientes puede vivir muchos años después del diagnóstico. Aproximadamente un 10% de los pacientes siguen vivos a los 15 años del diagnóstico, lo que refleja tanto la naturaleza crónica de la enfermedad como los avances en las opciones de tratamiento disponibles. Este 10% de pacientes longevos probablemente esté compuesto por aquellos que presentan una forma menos agresiva de la enfermedad, tienen acceso a tratamientos adecuados, y logran mantener la enfermedad bajo control durante un largo período de tiempo.
Además, es importante tener en cuenta que la supervivencia en pacientes con macroglobulinemia de Waldenström también está influenciada por factores adicionales, como el manejo de las complicaciones relacionadas con la hiperviscosidad, que pueden ser potencialmente mortales si no se tratan adecuadamente, así como la presencia de otras comorbilidades, como enfermedades cardiovasculares o renales, que pueden complicar el curso de la enfermedad.

Fuente y lecturas recomendadas:
- Castillo JJ et al. Venetoclax in previously treated Waldenström macroglobulinemia. J Clin Oncol. 2022;40:63. [PMID: 34793256]
- Gertz MA. Waldenstrom macroglobulinemia: tailoring therapy for the individual. J Clin Oncol. 2022;40:2600. [PMID: 35700418]

