La coloración con hematoxilina y eosina
La coloración con hematoxilina y eosina

La coloración con hematoxilina y eosina

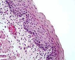
La coloración con hematoxilina y eosina (H&E) es una técnica fundamental en histología y anatomía patológica que se utiliza para teñir y visualizar tejidos biológicos bajo un microscopio óptico. Esta técnica es esencial en el campo de la investigación y la medicina para examinar la estructura de los tejidos, identificar anomalías y diagnosticar enfermedades.

  1. Fijación en formalina: La primera etapa en la preparación de muestras de tejido para microscopía es la fijación en formalina. La formalina es un agente de fijación que detiene la descomposición de las células y protege la estructura de los tejidos al mantener sus componentes celulares en su lugar. Esto permite que los tejidos se mantengan estables y conserven su morfología original.
  2. Inclusión en parafina: Después de la fijación, los tejidos se someten a un proceso de inclusión en parafina. En este paso, los tejidos se deshidratan y se impregnan con parafina, una sustancia cerosa que les proporciona rigidez y facilita el corte en secciones finas. La inclusión en parafina permite que los tejidos se corten en cortes transversales muy delgados, generalmente de unos pocos micrómetros de espesor.
  3. Corte en microtomo: Las muestras de tejido incluidas en parafina se cortan en secciones finas utilizando un instrumento llamado microtomo. Estas secciones delgadas se montan en portaobjetos de vidrio y se fijan firmemente en su lugar. Cada sección contiene una rebanada delgada de tejido que representa una instantánea de la estructura del tejido en ese punto específico.
  4. Tinción con hematoxilina y eosina: Una vez que las secciones de tejido están montadas en los portaobjetos, se procede a la tinción con H&E. La hematoxilina tiñe los núcleos celulares de color azul oscuro, mientras que la eosina tiñe el citoplasma y otros componentes celulares de color rosa a rojo. Esta tinción diferencial resalta las diferencias en la morfología y la composición celular de los tejidos.
  5. Microscopía óptica: Finalmente, las muestras teñidas se examinan bajo un microscopio óptico. La coloración con H&E permite a los patólogos y los investigadores observar y analizar la estructura y la organización de las células y los tejidos. Esto es fundamental para el diagnóstico de enfermedades, la investigación científica y la comprensión de la anatomía normal y patológica.

 

 

 

 

Homo medicus

 


 

Guías de estudio. Homo medicus.
Guías de estudio. Homo medicus.

 

Síguenos en X: @el_homomedicus  y @enarm_intensivo Síguenos en instagram: homomedicus  y en Treads.net como: Homomedicus  

🟥     🟪     🟨     🟧     🟩     🟦

Aprende administración paso a paso

Administración Desde Cero

ADMINISTRACION DESDE CERO

¿De cuánta utilidad te ha parecido este contenido?

¡Haz clic en una estrella para puntuarlo!

Promedio de puntuación 0 / 5. Recuento de votos: 0

Hasta ahora, ¡no hay votos!. Sé el primero en puntuar este contenido.

Ya que has encontrado útil este contenido...

¡Sígueme en los medios sociales!

Si te fue útil este resumen, compártelo por favor!