La gastritis no erosiva se caracteriza por una inflamación histológica de la mucosa gástrica, en la cual no se observan lesiones superficiales o úlceras, a diferencia de la gastritis erosiva, que implica daño visible en las capas superficiales del estómago. A pesar de la ausencia de signos macroscópicos de daño en la mucosa, la inflamación es evidente a nivel microscópico, lo que se confirma a través del análisis histológico de biopsias de la mucosa gástrica. Esta condición puede estar asociada a diversos factores, incluyendo infecciones, trastornos autoinmunitarios, y reacciones alérgicas, entre otros. Las principales formas de gastritis no erosiva son aquellas inducidas por la infección por Helicobacter pylori, aquellas relacionadas con la anemia perniciosa, y la gastritis eosinofílica, aunque también existen otros factores genéticos y ambientales que pueden contribuir al desarrollo de la enfermedad.
El diagnóstico de la gastritis no erosiva se confirma típicamente mediante la evaluación histológica de biopsias obtenidas de la mucosa gástrica, ya que los hallazgos endoscópicos suelen ser normales en muchos casos. La endoscopia, aunque es útil para detectar otras formas de gastritis o complicaciones como úlceras y tumores, no siempre refleja de manera confiable la presencia de inflamación histológica, lo que resalta la importancia de la biopsia en la evaluación de esta enfermedad. De hecho, una de las características distintivas de la gastritis no erosiva es la presencia de inflamación subclínica, es decir, inflamación que no se manifiesta de forma evidente en la mucosa durante la endoscopia.
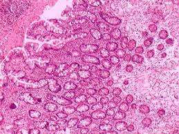
Aunque en muchos pacientes la gastritis no erosiva puede ser clínicamente silenciosa y no causar síntomas notorios, la inflamación persistente y la destrucción glandular pueden dar lugar a alteraciones más graves en la mucosa gástrica, tales como atrofia, que puede ser focal o difusa, afectando principalmente la mucosa del cardias, el fondo o el antro gástrico. Esta atrofia de la mucosa puede avanzar hacia un proceso denominado metaplasia intestinal gástrica, que se caracteriza por la sustitución de las células normales de la mucosa gástrica por células que se asemejan a las del intestino delgado, como las células caliciformes y las células de Paneth. Esta transformación es considerada un precursor importante del cáncer gástrico, ya que la metaplasia intestinal gástrica puede aumentar la vulnerabilidad del estómago a mutaciones genéticas y otros cambios patológicos que conducen al desarrollo de tumores malignos.
La prevalencia de la metaplasia intestinal gástrica varía significativamente a nivel mundial, con tasas que van del 3% al 5% en países de Estados Unidos y Europa del Norte, hasta más del 20% en regiones de Asia Oriental y América del Sur. En los Estados Unidos, la prevalencia es especialmente alta en poblaciones de origen latino, afroamericano e indígena americano, lo que sugiere que factores étnicos y genéticos pueden desempeñar un papel en la distribución de la enfermedad. En términos de riesgo, se estima que las personas con metaplasia intestinal gástrica tienen un riesgo de aproximadamente un 1.6% de desarrollar cáncer gástrico en un plazo de 10 años.
Es importante destacar que, aunque la metaplasia intestinal gástrica se reconoce como un factor de riesgo significativo para el cáncer gástrico, no existen directrices profesionales para la realización de cribados poblacionales para detectar metaplasia intestinal o cáncer gástrico en áreas donde la incidencia de cáncer gástrico es baja. Sin embargo, en regiones donde el cáncer gástrico tiene una alta incidencia, como en algunas partes de Asia y América Latina, se realizan programas de cribado para detectar la metaplasia intestinal y el cáncer gástrico en etapas tempranas, con el objetivo de mejorar el pronóstico y la supervivencia de los pacientes.
En pacientes que se someten a una endoscopia por otras indicaciones, en los cuales se obtienen biopsias gástricas, la metaplasia intestinal gástrica y la gastritis atrófica pueden ser identificadas de manera incidental. Esto significa que, aunque estos pacientes no hayan sido evaluados específicamente por sospecha de estas condiciones, los hallazgos de metaplasia intestinal o atrofia gástrica pueden ser detectados durante la revisión rutinaria de las biopsias obtenidas. La metaplasia intestinal gástrica es un cambio morfológico caracterizado por la sustitución de las células normales de la mucosa gástrica por células que se asemejan a las del intestino delgado, como las células caliciformes, mientras que la gastritis atrófica implica la pérdida de las glándulas gástricas, lo que resulta en un adelgazamiento de la mucosa gástrica. Ambos hallazgos son importantes, ya que se consideran condiciones precursoras del cáncer gástrico, y su detección puede tener implicaciones significativas para el manejo clínico de los pacientes.
Uno de los factores de riesgo clave asociado con la metaplasia intestinal gástrica y la gastritis atrófica es la infección por Helicobacter pylori, una bacteria que coloniza la mucosa gástrica y que es responsable de la inflamación crónica en la mayoría de los casos de gastritis. Dado que la infección por Helicobacter pylori está estrechamente vinculada con la progresión hacia la metaplasia intestinal y la atrofia gástrica, se recomienda realizar pruebas para detectar esta infección en pacientes que presenten hallazgos sugestivos de estas condiciones en las biopsias gástricas. Si la infección por Helicobacter pylori es detectada, el tratamiento de erradicación con antibióticos debe ser implementado de manera oportuna. La erradicación de la bacteria ha mostrado una reducción significativa en el riesgo de desarrollar cáncer gástrico, con estudios que indican que la eliminación de la infección está asociada con una disminución del 46% en este riesgo. Este beneficio se debe a la reducción de la inflamación crónica y a la restauración de la mucosa gástrica, lo que previene la progresión a condiciones premalignas como la metaplasia intestinal y la displasia gástrica.
Sin embargo, a pesar de los avances en la prevención del cáncer gástrico mediante la erradicación de Helicobacter pylori, las guías profesionales actuales no recomiendan la vigilancia rutinaria en pacientes con displasia gástrica para la detección temprana de cáncer gástrico, especialmente en aquellos con un riesgo bajo o moderado de desarrollar la enfermedad. La displasia gástrica, que es una alteración premaligna de las células de la mucosa gástrica, puede ser un indicio de que el paciente tiene un mayor riesgo de desarrollar cáncer gástrico, pero la práctica de vigilancia rutinaria no ha demostrado beneficios claros en términos de mejora de la supervivencia o de la detección precoz en todos los pacientes. Por lo tanto, las pautas actuales se centran más en la evaluación de los factores de riesgo y en la implementación de estrategias de manejo más específicas en aquellos individuos con un riesgo elevado.
En individuos con mayor riesgo de cáncer gástrico, como aquellos que presentan gastritis atrófica avanzada o una historia familiar de cáncer gástrico, la vigilancia periódica puede ser considerada cada tres años. Este enfoque está dirigido a la identificación temprana de cambios patológicos que puedan preceder al desarrollo de un cáncer gástrico. Los pacientes con gastritis atrófica avanzada tienen un mayor riesgo de progresar a metaplasia intestinal y displasia, lo que justifica un seguimiento más cercano. Además, aquellos con antecedentes familiares de cáncer gástrico tienen una predisposición genética que aumenta su riesgo, por lo que la vigilancia regular se considera una opción razonable para detectar el cáncer en etapas tempranas y mejorar el pronóstico.

Fuente y lecturas recomendadas:
- Altayar O et al. AGA technical review on gastric intestinal metaplasia—epidemiology and risk factors. Gastroenterology. 2020;158:732. [PMID: 31816301]
- Gawron AJ et al. AGA technical review on gastric intestinal metaplasia—natural history and clinical outcomes. Gastroenterology. 2020;158:705. [PMID: 31816300]
- Shah SC et al. AGA Clinical Practice Update on the diagnosis and management of atrophic gastritis: expert review. Gastroenterology. 2021;161:1325. [PMID: 34454714]

