La enfermedad de cambios mínimos es la causa más frecuente de enfermedad renal proteinúrica en niños, representando aproximadamente el 80% de los casos de síndrome nefrótico en esta población. Este trastorno se caracteriza por la aparición de niveles elevados de proteína en la orina (proteinuria) sin la presencia de alteraciones estructurales en los glomérulos renales observables mediante microscopia óptica convencional. La característica histopatológica fundamental de la enfermedad es la pérdida de los podocitos, células especializadas en la filtración renal, lo que genera alteraciones en la barrera de filtración glomerular y resulta en la pérdida de proteínas en la orina. A pesar de la ausencia de hallazgos evidentes en las biopsias renales en muchos casos, la enfermedad responde bien al tratamiento con corticosteroides, lo que implica que la patogenia subyacente de la enfermedad puede involucrar mecanismos inmunológicos que son sensibles a estos fármacos.
El tratamiento empírico con corticosteroides es una estrategia común en la gestión del síndrome nefrótico en niños, ya que la mayoría de los casos de síndrome nefrótico pediátrico son causados por la enfermedad de cambios mínimos. A menudo, no se realiza una biopsia renal debido a la alta tasa de remisión con el tratamiento esteroideo y la presentación clínica característica. La respuesta favorable a los corticosteroides no solo refuerza la sospecha clínica de esta enfermedad, sino que también evita la necesidad de un procedimiento invasivo en muchos casos.
La enfermedad de cambios mínimos se presenta con menos frecuencia en adultos, representando entre el 20% y el 25% de los casos de síndrome nefrótico primario en individuos mayores de 40 años. En este grupo etario, la causa de la enfermedad a menudo puede estar asociada con condiciones subyacentes como neoplasias (por ejemplo, el linfoma de Hodgkin) o el uso de ciertos fármacos, como el litio, que se utiliza en el tratamiento de trastornos psiquiátricos. Además, las infecciones virales, especialmente las infecciones respiratorias superiores, también pueden desencadenar la aparición de enfermedad de cambios mínimos, especialmente en los niños. Las reacciones de hipersensibilidad, como las causadas por los antiinflamatorios no esteroideos (AINEs) o las picaduras de abejas, también se han asociado con la enfermedad. Estos factores pueden alterar la respuesta inmunológica y desencadenar una disfunción en la filtración glomerular, aunque el mecanismo preciso sigue siendo un área de investigación.
En cuanto a la fisiopatología, la enfermedad de cambios mínimos está vinculada a una disfunción en el sistema inmunológico, con la activación de linfocitos T y la liberación de citocinas que afectan la integridad de la barrera de filtración renal. Se postula que la alteración en la función de los podocitos es un componente clave, ya que estos se encargan de mantener la estructura del glomérulo y filtrar selectivamente las proteínas. En muchos casos, la pérdida de podocitos en esta enfermedad es difusa y no visible mediante técnicas convencionales de microscopía, lo que le da el nombre de cambios mínimos.
Manifestaciones clínicas
Los pacientes con enfermedad de cambios mínimos suelen presentar con el síndrome nefrótico, una entidad clínica caracterizada por una tríada de síntomas: proteinuria masiva, hipoalbuminemia y edemas. Este síndrome tiene implicaciones fisiopatológicas profundas, ya que altera la función renal y compromete diversos sistemas orgánicos, lo que confiere a los pacientes una mayor susceptibilidad a una serie de complicaciones.
Una de las complicaciones más destacadas es la predisposición a infecciones. La pérdida masiva de proteínas, en particular inmunoglobulinas, a través de la orina debilita el sistema inmunológico, lo que deja a los pacientes más vulnerables a infecciones bacterianas, virales y fúngicas. Esta inmunodeficiencia adquirida por la pérdida de proteínas plasmáticas puede hacer que incluso infecciones menores se conviertan en eventos graves, aumentando el riesgo de morbilidad.
Adicionalmente, los pacientes con síndrome nefrótico, incluidos aquellos con enfermedad de cambios mínimos, tienen un mayor riesgo de eventos trombóticos. La disminución de los niveles de proteínas anticoagulantes, como la antitrombina III, junto con un aumento en la síntesis de proteínas procoagulantes, como el fibrinógeno y los factores de coagulación, favorece un estado de hipercoagulabilidad. Este desequilibrio en el sistema de coagulación puede resultar en la formación de coágulos sanguíneos, especialmente en venas profundas, lo que predispone a los pacientes a trombosis venosa profunda, embolias pulmonares y otros trastornos tromboembólicos.
El síndrome nefrótico también se asocia frecuentemente con dislipidemia, un trastorno metabólico caracterizado por niveles elevados de colesterol total, lipoproteínas de baja densidad (colesterol LDL) y triglicéridos. Este fenómeno ocurre debido a un aumento compensatorio en la síntesis hepática de lipoproteínas, que es un intento del organismo para contrarrestar la hipoalbuminemia. Sin embargo, este aumento en los lípidos sanguíneos favorece la aparición de aterosclerosis y enfermedades cardiovasculares, lo que incrementa aún más la morbilidad y mortalidad en estos pacientes.
Otro aspecto relevante es la malnutrición proteica. La pérdida continua de proteínas a través de la orina reduce la cantidad de proteínas disponibles para la función normal del cuerpo, lo que puede resultar en un déficit nutricional generalizado. Esta malnutrición es especialmente notable en los pacientes con síndrome nefrótico grave, quienes pueden experimentar una pérdida muscular y una disminución de la masa corporal magra debido a la catabolización de proteínas para suplir las deficiencias dietéticas.
Además de estas complicaciones clásicas del síndrome nefrótico, la enfermedad de cambios mínimos también puede presentarse con insuficiencia renal aguda (IRA) en algunos casos. La insuficiencia renal aguda se produce debido al daño directo a los túbulos renales y al edema intersticial, lo que puede interrumpir el flujo sanguíneo renal y alterar la capacidad del riñón para filtrar adecuadamente los desechos metabólicos. En este contexto, el daño tubular puede ser consecuencia de la pérdida de proteínas, las alteraciones en la función glomerular y el desarrollo de edema, que puede comprimir los vasos sanguíneos renales y disminuir la perfusión renal. Aunque la insuficiencia renal aguda no es tan común como el síndrome nefrótico en la enfermedad de cambios mínimos, su aparición es una manifestación clínica significativa que requiere atención urgente y manejo adecuado.
Exámenes diagnósticos
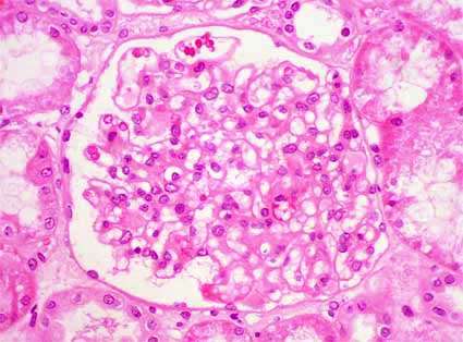
Los hallazgos laboratoriales y histológicos en la enfermedad de cambios mínimos son fundamentales para el diagnóstico y la comprensión de la fisiopatología de esta enfermedad, aunque no existen pruebas serológicas específicas que resulten útiles en su diagnóstico. La ausencia de biomarcadores serológicos específicos para esta condición subraya la importancia de los estudios histológicos, en particular la biopsia renal, para el diagnóstico definitivo.
Cuando se realiza una biopsia renal en pacientes con enfermedad de cambios mínimos, los glomérulos, que son las unidades funcionales del riñón, suelen aparecer normales al ser observados mediante microscopía óptica. Esta es una característica distintiva de la enfermedad: a pesar de la presencia de proteinuria masiva y otros signos clínicos del síndrome nefrótico, los glomérulos no presentan alteraciones morfológicas evidentes con las técnicas convencionales de microscopía. Esto se debe a que, en esta enfermedad, la disfunción glomerular es funcional en lugar de estructural, lo que significa que las células y las estructuras del glomérulo no muestran daño en las imágenes obtenidas mediante microscopía óptica convencional.
La ausencia de hallazgos significativos en la microscopía óptica ha llevado a la utilización de técnicas más avanzadas, como la inmunofluorescencia y la microscopía electrónica, para detectar los cambios subyacentes a nivel celular. En la inmunofluorescencia, que permite la detección de depósitos de inmunoglobulinas y otras proteínas, no se observan depósitos anormales en los glomérulos en la enfermedad de cambios mínimos. Esto es característico de esta patología y la diferencia de otras enfermedades glomerulares como la glomerulonefritis mesangiocapilar o la nefritis lúpica, que sí presentan depósitos de complejos inmunes en los glomérulos.
El hallazgo más relevante en el diagnóstico de enfermedad de cambios mínimos se observa en la microscopía electrónica, donde se aprecia un borramiento difuso de los procesos de los podocitos. Los podocitos son células especializadas que recubren la cápsula de Bowman y son responsables de mantener la barrera de filtración glomerular. El borramiento de sus procesos celulares implica una alteración funcional significativa en la barrera de filtración, lo que conduce a la pérdida masiva de proteínas en la orina (proteinuria). Este cambio es prácticamente patognomónico de la enfermedad de cambios mínimos y es esencial para su diagnóstico, ya que no se observa en otras enfermedades glomerulares.
En algunos casos, sobre todo en un subconjunto de pacientes, puede observarse proliferación de las células mesangiales, que son las células que se encuentran en el mesénquima del glomérulo. La proliferación mesangial, aunque no es un hallazgo constante, puede indicar una forma más grave de la enfermedad y está asociada con una mayor presencia de hematuria (sangre en la orina) y con la aparición de hipertensión. Este tipo de presentación clínica sugiere que el proceso inflamatorio es más intenso y, como consecuencia, se asocia con una peor respuesta al tratamiento estándar con corticosteroides. La proliferación mesangial, que se observa en menor medida en la enfermedad de cambios mínimos, puede reflejar una mayor actividad de la enfermedad y, en muchos casos, está relacionada con un pronóstico menos favorable.
Tratamiento
El tratamiento de la enfermedad de cambios mínimos se basa principalmente en el uso de corticosteroides, específicamente la prednisona, que se administra como tratamiento de primera línea. La dosis inicial recomendada es de 1 mg por kilogramo de peso corporal por día. Esta terapia tiene como objetivo reducir la inflamación y restaurar la función de la barrera de filtración renal, lo cual es crucial en el contexto de esta enfermedad. En la mayoría de los casos, la remisión, es decir, la reducción de la proteinuria y la mejora de los síntomas clínicos, ocurre dentro de un período de 4 a 8 semanas de tratamiento. Sin embargo, en algunos pacientes, el tratamiento puede necesitar extenderse hasta 16 semanas para lograr una remisión completa.
Una vez que se alcanza la remisión, el tratamiento con corticosteroides debe continuar durante al menos dos semanas adicionales para consolidar la respuesta y evitar recaídas tempranas. La reducción progresiva de la dosis de corticosteroides debe ser personalizada según las características del paciente y la respuesta al tratamiento, ya que la interrupción abrupta puede aumentar el riesgo de recaídas.
Se estima que aproximadamente la mitad de los pacientes con enfermedad de cambios mínimos experimentarán una recaída después de la remisión inicial. En estos casos, será necesario reintroducir el tratamiento con corticosteroides, a veces durante períodos prolongados, para controlar los episodios de recaída. Esta recurrencia refleja la naturaleza crónica de la enfermedad y la dependencia de los corticosteroides para mantener la estabilidad clínica.
Sin embargo, hay un subgrupo de pacientes que presentan recaídas frecuentes o que no responden adecuadamente al tratamiento con corticosteroides. Estos casos se consideran más complejos y requieren terapias adicionales para inducir remisiones sostenidas. Entre las opciones de tratamiento en estos casos se incluyen los inmunosupresores, como la ciclofosfamida, que es un agente quimioterápico que puede reducir la actividad del sistema inmunológico y, por lo tanto, ayudar a controlar la respuesta inflamatoria renal. Los inhibidores de la calcineurina, como el tacrolimus o la ciclosporina, también son opciones efectivas para suprimir la respuesta inmunológica de manera más específica y menos tóxica que la ciclofosfamida. Además, el rituximab, un anticuerpo monoclonal que actúa sobre las células B del sistema inmunológico, ha demostrado ser eficaz en algunos pacientes con enfermedad de cambios mínimos refractaria, al inducir remisiones mediante la modulación de la actividad inmunológica.
A pesar de la necesidad de tratamientos adicionales en casos refractarios, la progresión a enfermedad renal en estadio terminal es rara en la enfermedad de cambios mínimos. Esto significa que, en general, los pacientes tienen un pronóstico favorable en términos de función renal a largo plazo, especialmente si responden adecuadamente a los corticosteroides. Sin embargo, las complicaciones del tratamiento son un aspecto crítico del manejo de la enfermedad. El uso prolongado de corticosteroides, aunque eficaz, puede inducir una serie de efectos secundarios adversos significativos. Estos incluyen aumento del riesgo de infecciones, alteraciones metabólicas como la diabetes esteroidea, hipertensión, osteoporosis, cataratas y efectos psiquiátricos como cambios de humor o psicosis. Por lo tanto, es fundamental equilibrar los beneficios de la remisión con los riesgos asociados al uso a largo plazo de estos fármacos, lo que requiere un manejo cuidadoso y monitoreo regular de los pacientes.

Fuente y lecturas recomendadas:
- Azukaitis K et al. Interventions for minimal change disease in adults with nephrotic syndrome. Cochrane Database Syst Rev. 2022;3:CD001537. [PMID: 35230699]
- Chan EYH et al. Use of rituximab in childhood idiopathic nephrotic syndrome. Clin J Am Soc Nephrol. 2023;18:533. [PMID: 36456193]
- Vivarelli M et al. Childhood nephrotic syndrome. Lancet. 2023; 402:809. [PMID: 37659779]

