La acumulación de líquido en el espacio pericárdico, conocida como derrame pericárdico, puede tener un impacto clínico significativo, el cual está determinado principalmente por la velocidad a la que se produce esta acumulación. El pericardio, la membrana que rodea el corazón, puede albergar hasta doscientos mililitros de líquido en condiciones normales, pero su capacidad de distensión permite que volúmenes mayores sean tolerados sin efectos hemodinámicos inmediatos si la acumulación es gradual. Esto se debe a que el pericardio tiene la capacidad de adaptarse a incrementos lentos de líquido, permitiendo que volúmenes de hasta mil mililitros no generen síntomas significativos. Sin embargo, los derrames más pequeños que se desarrollan de manera aguda pueden inducir un estado de taponamiento, que se caracteriza por un aumento crítico de la presión intrapericárdica.
El taponamiento pericárdico es una condición en la que la presión del líquido acumulado en el espacio pericárdico supera los quince milímetros de mercurio. Este aumento de presión restringe el retorno venoso al corazón y, por ende, compromete el llenado ventricular. Consecuentemente, se observa una reducción en el volumen de sangre eyectado por el corazón (volumen sistólico) y una disminución en la presión del pulso arterial. Estos cambios fisiológicos suelen acompañarse de taquicardia, un aumento en la presión venosa yugular (JVP, por sus siglas en inglés), y en ocasiones, un pulso paradójico, que se define como una caída significativa de la presión arterial durante la inspiración.
El electrocardiograma también puede proporcionar indicios importantes sobre la presencia de taponamiento, mostrándose con voltajes bajos en las ondas o patrones de alternancia eléctrica, conocidos como alternancia eléctrica. Estos hallazgos electrocardiográficos reflejan la inestabilidad hemodinámica del paciente y son indicativos de que el corazón está siendo comprimido por el líquido acumulado.
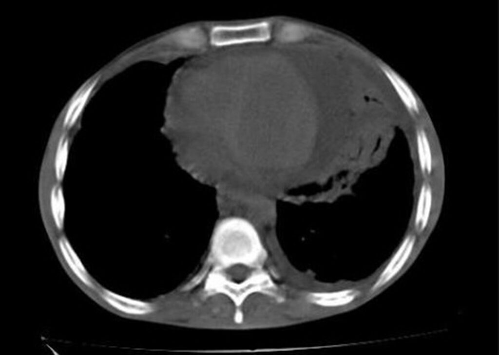
La ecocardiografía se presenta como la herramienta diagnóstica más efectiva para identificar y evaluar un derrame pericárdico y su potencial para inducir taponamiento. Esta técnica de imagen permite visualizar el líquido en el espacio pericárdico, así como evaluar el movimiento y la función del miocardio, lo cual es crucial para determinar la intervención necesaria.
Además, es importante destacar que el derrame pericárdico puede desarrollarse en el contexto de procesos de pericarditis aguda, donde la inflamación del pericardio puede facilitar la acumulación de líquido. Adicionalmente, condiciones severas como la disección o ruptura aórtica pueden también llevar a un taponamiento, dado que la relación anatómica del pericardio con la aorta implica que cualquier complicación en esta área puede comprometer la presión intrapericárdica.
Manifestaciones clínicas
Los derrames pericárdicos pueden presentar una variedad de manifestaciones clínicas que dependen de su origen y velocidad de acumulación. En el contexto de procesos inflamatorios agudos, como la pericarditis, es posible que el paciente experimente dolor torácico, resultado de la irritación de las estructuras pericárdicas. Este dolor puede variar en intensidad y naturaleza, siendo agudo y punzante en algunos casos. Sin embargo, en situaciones en las que el derrame se debe a condiciones neoplásicas o uremias, a menudo no se presenta dolor, ya que estas acumulaciones pueden desarrollarse de manera más insidiosa y sin la irritación que típicamente causa la inflamación.
Además del dolor, otros síntomas como la disnea y la tos son comunes en los pacientes con derrame pericárdico, especialmente cuando se desarrolla un taponamiento cardíaco. Este último es un síndrome potencialmente mortal que se produce cuando el líquido acumulado ejerce presión sobre el corazón, dificultando su capacidad para bombear adecuadamente. La presentación clínica del taponamiento incluye taquicardia, que es un intento del organismo de mantener el gasto cardíaco, hipotensión debido a la disminución del volumen de sangre eyectado, y un fenómeno conocido como pulso paradójico. Este pulso paradójico se manifiesta como una disminución notable de la presión arterial durante la inspiración, un hallazgo que puede ser indicativo de la severidad del taponamiento.
El aumento de la presión venosa yugular es otro signo característico que se observa en estos pacientes, así como la presencia de sonidos cardíacos amortiguados, que pueden ser indicativos de la acumulación de líquido en el espacio pericárdico. En el electrocardiograma, es común que se observe un descenso en el voltaje de las ondas o alternancia eléctrica, que refleja la presión ejercida sobre el corazón.
Es fundamental también considerar que los síntomas pueden estar relacionados con la enfermedad subyacente que causó el derrame. Por ejemplo, en pacientes con enfermedades malignas, los síntomas pueden variar considerablemente en función del tipo de cáncer y su diseminación.
El pronóstico de un paciente con derrame pericárdico es muy dependiente de la etiología. En particular, los derrames idiopáticos crónicos que persisten durante más de tres meses presentan un riesgo del treinta a treinta y cinco por ciento de progresar a taponamiento cardíaco. Esto subraya la importancia de una evaluación clínica y diagnóstica exhaustiva para identificar la causa del derrame y establecer un manejo adecuado, dado que el tiempo de intervención puede ser crucial para la supervivencia del paciente.
El roce pericárdico es un signo auscultatorio que puede estar presente incluso en casos de derrames pericárdicos grandes. Este roce se genera por el movimiento de las capas del pericardio, especialmente en situaciones de inflamación, y puede ser audible a pesar de la acumulación de líquido. La naturaleza del roce pericárdico es característicamente «en tres tiempos» y puede indicar un proceso inflamatorio en curso, aunque la presencia de un derrame significativo pueda ocultar otros hallazgos clínicos.
Cuando se presenta un taponamiento cardíaco, se observan características específicas en la respuesta fisiológica del paciente. La taquicardia, que es un aumento en la frecuencia cardíaca, y la taquipnea, que se refiere a una respiración acelerada, son respuestas compensatorias del organismo ante la disminución del volumen de sangre eyectado por el corazón. Un rasgo distintivo del taponamiento es la presión de pulso estrecha, que se define como la diferencia entre la presión sistólica y la presión diastólica. A pesar de la presencia de taponamiento, es posible que la presión sistólica se mantenga relativamente conservada, ya que el corazón intenta compensar la disminución del retorno venoso y el llenado ventricular.
El pulso paradójico, un fenómeno en el que se observa una disminución de más de diez milímetros de mercurio en la presión sistólica durante la inspiración, es un hallazgo clave en el taponamiento. Este fenómeno ocurre porque el ventrículo derecho y el ventrículo izquierdo comparten el mismo espacio pericárdico. Durante la inspiración, el ventrículo derecho se llena de sangre, aumentando su tamaño. Esta expansión provoca un movimiento del septo interventricular hacia el ventrículo izquierdo, lo que a su vez limita el llenado del ventrículo izquierdo. Como resultado, se produce una caída acentuada en el volumen sistólico y en la presión arterial sistémica durante la inspiración.
La presión venosa central también se eleva en esta condición. Esto se debe a que la alta presión intrapericárdica, que aumenta incluso al inicio de la diástole, impide el llenado ventricular temprano. En contraste con la constricción pericárdica, donde el llenado de los ventrículos ocurre principalmente en la fase inicial de la diástole (lo que se traduce en un rápido descenso en la presión y el volumen), en el taponamiento el llenado ventricular está inhibido a lo largo de toda la diástole. Esto resulta en una ausencia notable de un descenso «y» en las gráficas hemodinámicas de las aurículas y ventrículos, que normalmente se esperaría ver en condiciones de llenado normal.
Es importante mencionar que la presencia de edema o ascitis es rara en el taponamiento cardíaco. Estas manifestaciones suelen indicar un proceso más crónico, donde la presión intravascular está comprometida durante un período prolongado, y no son características del taponamiento agudo.
Exámenes complementarios
La radiografía de tórax es una herramienta diagnóstica que puede sugerir la presencia de un derrame pericárdico crónico a través de la observación de una silueta cardíaca aumentada con una configuración globular. Este hallazgo se debe a que, en situaciones crónicas, el líquido acumulado en el espacio pericárdico puede llevar a una expansión gradual del pericardio, resultando en un contorno cardíaco más prominente. Sin embargo, en casos agudos, la radiografía de tórax puede aparecer normal, ya que la acumulación rápida de líquido puede no ser suficiente para provocar cambios morfológicos evidentes en la silueta cardíaca.
El electrocardiograma a menudo revela cambios inespecíficos en la onda T y una disminución en el voltaje del complejo QRS. Estos hallazgos pueden ser indicativos de una variedad de condiciones cardíacas y no son específicos para el derrame pericárdico. La alternancia eléctrica, aunque se considera patognomónica, se presenta solo ocasionalmente. Este fenómeno se debe a que el corazón oscila dentro del gran derrame pericárdico, lo que provoca variaciones en el voltaje de los registros electrocardiográficos.
La ecocardiografía se establece como el método primario para demostrar la presencia de un derrame pericárdico, dado que es altamente sensible para detectar incluso volúmenes pequeños de líquido. En el caso de que se presente un taponamiento cardíaco, la alta presión intrapericárdica puede llevar al colapso de estructuras cardíacas de menor presión, como la aurícula derecha y el ventrículo derecho. Este colapso se traduce en cambios hemodinámicos que agravan el estado del paciente.
La tomografía computarizada y la resonancia magnética también son útiles para demostrar la presencia de líquido pericárdico, así como para evaluar el engrosamiento del pericardio y cualquier lesión contigua asociada en el tórax. Estas técnicas de imagen ofrecen una visión más detallada de la anatomía del espacio pericárdico y pueden ayudar a identificar causas subyacentes de derrames.
En ciertos casos, se puede indicar una pericardiocentesis diagnóstica o una biopsia para estudios microbiológicos y citológicos. La biopsia pericárdica puede realizarse de manera relativamente sencilla a través de una pequeña incisión subxifoidea o mediante un procedimiento quirúrgico asistido por video. Sin embargo, es importante señalar que la calidad del líquido pericárdico raramente conduce a un diagnóstico definitivo, ya que cualquier tipo de fluido —seroso, serosanguinolento o hemorrágico— puede observarse en múltiples enfermedades.
El análisis del líquido pericárdico es más útil para excluir una causa bacteriana y ocasionalmente puede ayudar en el diagnóstico de malignidades. Por ejemplo, los derrames asociados con hipotiroidismo pueden contener colesterol, mientras que aquellos resultantes de obstrucción linfática pueden ser quilosos en naturaleza. Estos hallazgos pueden proporcionar pistas sobre la etiología del derrame, pero no son definitivos.
Tratamiento
Los derrames pericárdicos pequeños pueden ser monitoreados clínicamente a través de la observación cuidadosa de la presión venosa yugular y mediante la evaluación de cambios en el pulso paradójico. Este último se define como una disminución notable de la presión arterial sistólica durante la inspiración y puede ser un indicativo de diversas condiciones patológicas. Una de las causas más comunes de pulso paradójico es la enfermedad pulmonar severa, especialmente en pacientes con asma, donde se producen cambios marcados en las presiones intrapleurales durante el ciclo respiratorio.
En situaciones en las que no se contempla una intervención inmediata, se recomienda la realización de ecocardiogramas seriados para monitorizar la evolución del derrame. Es importante tener en cuenta que, en estos casos, el uso de vasodilatadores y diuréticos debe evitarse, ya que estos medicamentos pueden afectar la hemodinámica del paciente de maneras que no son deseables en el contexto de un derrame pericárdico.
Cuando se presenta un taponamiento cardíaco, es esencial actuar con urgencia, ya que esta condición puede comprometer gravemente la función cardíaca. En tales casos, se requiere una pericardiocentesis urgente o, en situaciones más complejas, una cirugía cardíaca. Es fundamental comprender que la relación entre la presión y el volumen en el líquido pericárdico es curvilínea y ascendente, lo que significa que la eliminación incluso de una pequeña cantidad de líquido puede resultar en una caída dramática de la presión intrapericárdica y, por lo tanto, en un beneficio hemodinámico inmediato. Sin embargo, la drenaje completo con un catéter es preferible para garantizar una mejora sostenida en la condición del paciente.
En algunos casos, el drenaje continuado o repetido puede ser necesario, especialmente en derrames malignos, donde la acumulación de líquido puede ser persistente. Las ventanas pericárdicas realizadas mediante toracoscopia asistida por video han demostrado ser particularmente efectivas en la prevención de recurrencias, especialmente cuando la causa subyacente del derrame continúa presente. Este enfoque es más efectivo que las técnicas tradicionales de pericardiocentesis con aguja, las ventanas quirúrgicas subxifoideas o la pericardiotomía con balón percutáneo.
Es relevante señalar que la presencia de líquido pericárdico en pacientes con hipertensión pulmonar es un signo de mal pronóstico, lo que indica que estas condiciones requieren una atención y un seguimiento cuidadosos para prevenir complicaciones severas y mejorar el pronóstico general del paciente.

Fuente y lecturas recomendadas:
- Goldman, L., & Schafer, A. I. (Eds.). (2020). Goldman-Cecil Medicine (26th ed.). Elsevier.
- Loscalzo, J., Fauci, A. S., Kasper, D. L., Hauser, S. L., Longo, D. L., & Jameson, J. L. (Eds.). (2022). Harrison. Principios de medicina interna (21.ª ed.). McGraw-Hill Education.
- Papadakis, M. A., McPhee, S. J., Rabow, M. W., & McQuaid, K. R. (Eds.). (2024). Diagnóstico clínico y tratamiento 2024. McGraw Hill.
Síguenos en X: @el_homomedicus y @enarm_intensivo Síguenos en instagram: homomedicus y en Treads.net como: Homomedicus

