Tipos de derrame pleural

Tipos de derrame pleural

  Los derrames pleurales se refieren a la acumulación anormal de líquido en el espacio pleural, que es la cavidad que rodea los pulmones dentro de la cavidad torácica. La…
Tipos de neumotórax según su origen

Tipos de neumotórax según su origen

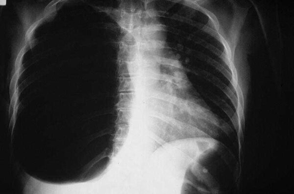
El neumotórax es una condición médica caracterizada por la presencia de aire en el espacio pleural, que es la cavidad entre las membranas que rodean los pulmones y la pared…
Clasificación de la Hipertensión Pulmonar

Clasificación de la Hipertensión Pulmonar

  Clasificación por mecanismo patológico Según la Organización Mundial de la Salud se clasifica la hipertensión pulmonar por sus mecanismos patológicos en 5 grupos: Grupo 1: hipertensión de arteria pulmonar…
¿Qué es la hemoptisis masiva?

¿Qué es la hemoptisis masiva?

La hemoptisis se refiere a la expulsión de sangre proveniente de un punto ubicado debajo de las cuerdas vocales. La cantidad de sangre expectorada puede variar y se suele clasificar…