¿Qué son las glándulas salivales?

¿Qué son las glándulas salivales?

Las glándulas salivales son órganos glandulares que producen y secretan saliva en la boca. La saliva es un líquido acuoso que contiene enzimas y otros compuestos importantes que ayudan en…
Histología de ovario

Histología de ovario

Los ovarios poseen dos funciones interrelacionadas: la gametogénesis (producción de gametos) la esteroidogénesis (producción de esteroides). La producción de gametos se denomina ovogénesis. Los gametos en desarrollo se conocen como…
¿Qué es la glia periférica?

¿Qué es la glia periférica?

En el sistema nervioso periférico (SNP), las células de sostén se denominan glía periférica, y desempeñan un papel fundamental en el soporte y la protección de las neuronas periféricas. Estas…
Tipos de células del tejido nervioso

Tipos de células del tejido nervioso

El tejido nervioso es uno de los tejidos más especializados y complejos del cuerpo humano, y está compuesto por dos tipos principales de células: las neuronas y las células de…
¿Qué es la dermis?

¿Qué es la dermis?

La dermis es un tejido conjuntivo elástico comprimible que brinda soporte y protección a la epidermis, los apéndices dérmicos y los plexos neurovasculares. Consta de células, moléculas fibrosas y una…
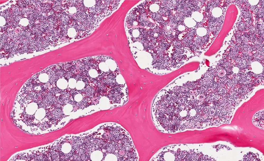
¿Dónde se producen los neutrófilos?

¿Dónde se producen los neutrófilos?

La producción de neutrófilos en la médula ósea está regulada por una red compleja de señalización que involucra al G-CSF, la IL-17 y la IL-23, entre otros factores. Esta regulación…
¿Qué son las fibras dérmicas?

¿Qué son las fibras dérmicas?

Las fibras dérmicas son componentes estructurales de la piel que proporcionan fuerza y ​​elasticidad. Estas fibras están presentes en la dermis, que es la capa intermedia de la piel, y…
¿Qué significa hibridación?

¿Qué significa hibridación?

El término "hibridación" se refiere a la capacidad de las moléculas monocatenarias de ácido ribonucleico (ARN) o ácido desoxirribonucleico (ADN) para interactuar de manera específica y establecer uniones con secuencias…