La digestión enzimática es una técnica importante en el campo de la histología y la citología que se utiliza para confirmar la identidad de un componente específico en una muestra…
Uno de los métodos histoquímicos más comunes, que a menudo se utiliza en combinación con la inmunocitoquímica, emplea peroxidasa de rábano para la detección de antígenos mediada por enzimas. Este…
La citometría de flujo es una técnica ampliamente utilizada en biología y medicina para analizar células individuales en muestras biológicas, como sangre, tejidos y cultivos celulares. Esta técnica se basa…
La microespectrofotometría de Feulgen es una técnica desarrollada para el estudio de los contenidos de ADN en las células en desarrollo y para analizar la ploidía, que se refiere a…
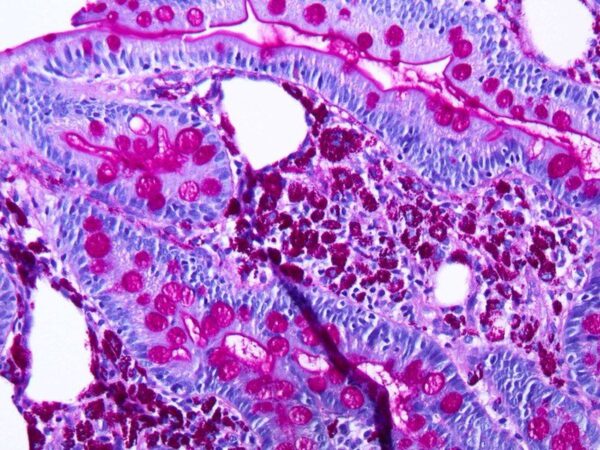
La capacidad de la fucsina básica decolorada, también conocida como reactivo de Schiff o reactivos de Schiff, para reaccionar con grupos aldehído es esencial en varias técnicas histológicas y citológicas.…
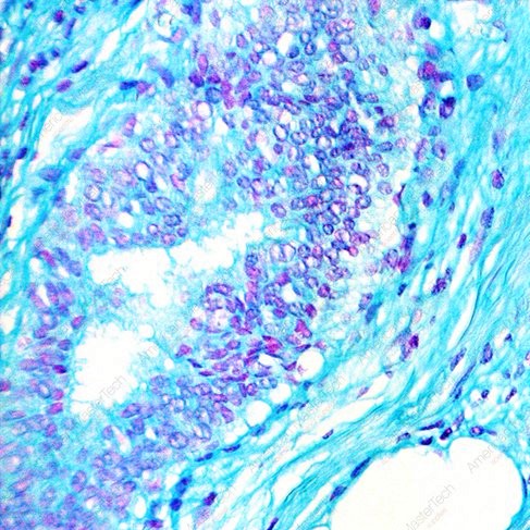
La metacromasia es un fenómeno en histología que se manifiesta como un cambio en la coloración de las muestras cuando se tiñen con colorantes específicos. Este cambio de color ocurre…
La metacromasia es un fenómeno en el que ciertos colorantes básicos reaccionan con los componentes del tejido y cambian su color normal de azul a rojo o púrpura. Este fenómeno…
El uso de orceína y fucsina-resorcina para el material elástico, así como la impregnación argéntica para fibras reticulares y membranas basales, son técnicas de tinción histológica especializadas que se emplean…
La fijación es un proceso crucial en la preparación de muestras biológicas para su estudio microscópico y análisis. Su objetivo principal es conservar las estructuras y componentes celulares en su…
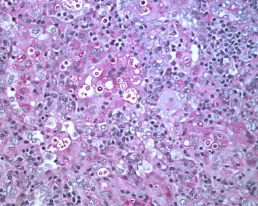
La tinción con hematoxilina y eosina (H&E) es una técnica de tinción histológica ampliamente utilizada en la microscopía para visualizar las estructuras celulares y tejidos en cortes histológicos. A…