Los opioides son los analgésicos más potentes disponibles. De todos los analgésicos, los opioides tienen la más amplia gama de eficacia y proporcionan el método más fiable y eficaz para…
La resistencia adquirida a los antibióticos es un proceso en el cual una bacteria que originalmente era sensible a un antibiótico desarrolla la capacidad de resistir su acción debido a…
La resistencia a los antibióticos β-lactámicos, como la penicilina y las cefalosporinas, es un problema crítico en la lucha contra las infecciones bacterianas. Esta resistencia se puede dividir en dos…
La resistencia intrínseca en el contexto de la resistencia bacteriana se refiere a un mecanismo de resistencia que es una característica natural y fundamental de la estructura o fisiología de…
El núcleo esencial de la penicilina, un antibiótico que ha sido fundamental en la lucha contra las infecciones bacterianas, es un anillo de cuatro miembros conocido como el anillo β-lactámico.…
La fascinante historia de los antibióticos β-lactámicos se inicia en el año 1928 cuando el científico Alexander Fleming realizaba investigaciones en el campo de la bacteriología. Durante sus experimentos, Fleming…
Se han desarrollado una amplia variedad de compuestos antimicrobianos, conocidos como antibióticos, que están diseñados para atacar puntos de vulnerabilidad específicos en estos invasores. Estos antibióticos se agrupan en tres…
La determinación de la concentración inhibitoria mínima (CIM) y la concentración bactericida mínima (CBM) es esencial para evaluar la eficacia de un antibiótico contra una población bacteriana específica. La CIM…
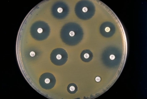
El método de Kirby-Bauer, también conocido como el ensayo de difusión en disco, es una técnica estándar utilizada en microbiología y medicina para evaluar la susceptibilidad de un aislado bacteriano…
La clasificación de los antibióticos en bactericidas y bacteriostáticos se basa en su capacidad para matar directamente o suprimir el crecimiento bacteriano. Los antibióticos bacteriostáticos dependen del sistema inmunológico del…