La patología vascular, esa amplia categoría de enfermedades que abarca los trastornos de los vasos sanguíneos, ya sean arterias o venas, es motivo de profunda preocupación en el ámbito…
Concepto La coartación de la aorta se define como un estrechamiento luminal en la aorta, que obstruye el flujo sanguíneo. En cualquier punto del trayecto de la aorta puede haber…
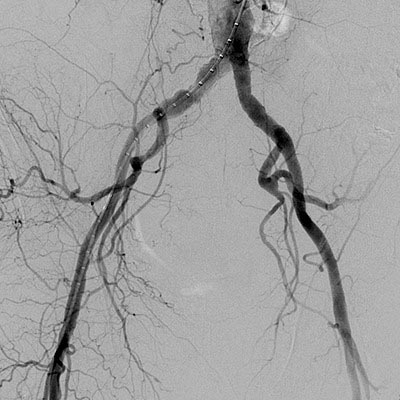
La arteria femoral superficial es el vaso que se ocluye con mayor frecuencia por ateroesclerosis. Las lesiones a menudo se ubican en el sitio donde la arteria femoral superficial pasa por…
Las lesiones ateroescleróticas oclusivas que se desarrollan en las extremidades, o arteriopatía periférica, son signos de un proceso ateroesclerótico sistémico. La prevalencia de la arteriopatía periférica es de 30% en…
El crecimiento de nuevos vasos sanguíneos, un proceso conocido como angiogénesis, es esencial para el desarrollo, la curación de heridas y la adaptación a condiciones patológicas en el cuerpo humano.…
Aorta La aorta es el vaso por el cual la sangre expulsada del ventrículo izquierdo llega al lecho arterial sistémico. En los adultos el diámetro de la aorta en su origen y en la…
La recomendación de realizar una única detección en busca de aneurisma de aorta abdominal (AAA) mediante ecografía en varones de 65 a 75 años que nunca han fumado se basa…
El índice tobillo-brazo (ABI, ankle-brachial index) es una herramienta de diagnóstico no invasiva y ampliamente utilizada en la evaluación de la salud vascular en pacientes con riesgo para eventos cardiovasculares.…
La arteria dorsal del pie es una arteria importante que se encuentra en la parte superior o dorso del pie y forma parte del sistema circulatorio. Es una rama colateral…
Los pulsos periféricos, como los pulsos en las muñecas (radial), la parte interna del codo (braquial), el cuello del pie (dorsal del pie) y el tobillo (tibial posterior), son importantes…